#медицина

17 ноября, 11:52
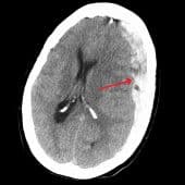
ПНИПУ
4

Ежегодно в России регистрируется около 600 тысяч случаев черепно-мозговых травм, причем до 40% всех внутричерепных кровоизлияний составляют субдуральные гематомы. Это опасное состояние, возникающее при разрыве сосудов между мозгом и черепом, приводит к сдавлению мозга и требует экстренного выбора лечения — консервативного или хирургического. Особую тревогу вызывает высокая летальность при обширных субдуральных гематомах, а также риск повторных кровоизлияний, с которыми сталкивается каждый третий пациент, принимающий препараты для разжижения крови. Ученые ПГМУ им. академика Е.А. Вагнера и ПНИПУ создали и запатентовали компьютерную программу, прогнозирующую перспективы лечения. В основу алгоритма легли клинические исследования, позволившие выделить ключевые прогностические факторы: возраст пациента и расположение гематомы. Система анализирует и другие параметры — объем кровоизлияния, время до госпитализации и прием антикоагулянтов. Разработка поможет врачам не только выбирать оптимальную тактику лечения, но и объективно оценивать шансы пациента на восстановление.

17 ноября, 11:28
Елизавета Завьялова
127

Ученые, возможно, нашли способ, помогающий организму восстановить собственные кости. Важную роль в методе играет рецептор GPR133. Такая терапия может в перспективе изменить подход к лечению остеопороза.

13 ноября, 07:56
Александр Речкин
3

Слушатели узнают, как на самом деле работают остеопатические техники с точки зрения современной нейрофизиологии.

10 ноября, 10:46
ПНИПУ
410

В последнее время участились случаи отравления ботулотоксином. Ученые Пермского Политеха рассказали, как это вещество на время «отключает» нервные клетки, где можно с ним столкнуться вне косметологического кабинета, какие ошибки приготовления домашних консервированных продуктов приводят к ботулизму, почему со временем уколы препарата приводит к появлению новых морщин и атрофии мышц, и какие заболевания сейчас успешно лечат ботоксом.

9 ноября, 17:49
Елизавета Завьялова
556

Группа российских ученых разработала прототип установки для лечения рака без проведения тяжелых операций. Опухоль точечно уничтожается микроволновым излучением. Технология подходит, в том числе, для лечения опухолей щитовидной железы и груди.

7 ноября, 13:06
Елизавета Завьялова
4,7 тыс

Президент России Владимир Путин во время визита в Пекин в сентябре 2025 года заявил китайскому лидеру Си Цзиньпину, что повторная трансплантация органов может человека «омолодить» и поможет дожить до 150 лет. Тогда это замечание было широко отвергнуто как научная фантастика. Однако эти слова совпали с реальным научным прогрессом.

6 ноября, 03:09
Сеченовский Университет
357

Лаборатория иммунной инженерии Сеченовского Университета совместно с лабораторией молекулярной иммунологии НИИ фундаментальной и клинической иммунологии (Новосибирск) успешно завершили испытания на лабораторных моделях первого в России клеточного препарата для лечения устойчивых к стандартной терапии форм рака молочной железы. В основе разработки лежит передовой метод TCR-T-терапии, который позволяет находить клетки с молекулами-мишенями в организме человека. В перспективе ученые смогут использовать эту технологию для разработки препаратов для лечения других онкозаболеваний.

31 октября, 07:35
Александр Речкин
1

Слушатели узнают, как защитить организм от неблагоприятных эффектов ионизирующей радиации.

29 октября, 11:44
Александр Речкин
9

Слушатели узнают про технологию получения первой отечественной четырехвалентной вакцины для профилактики гриппа.

23 октября, 11:46
ПНИПУ
78

Переломы пальцев составляют около трети всех бытовых и спортивных травм, что объясняется их постоянной нагрузкой в повседневной жизни. Сложное анатомическое строение с хрупкими костями и подвижными суставами делает эту область особенно уязвимой. Основная проблема возникает на этапе лечения: традиционные методы фиксации часто приводят к осложнениям. Жесткие шины и гипсовые повязки дают недостаточно плотную фиксацию, не адаптируются к изменению отека и ограничивают движение. Неправильное сращение кости ведет к длительной реабилитации, хроническим болям и нарушению мелкой моторики. Это подтверждает необходимость создания современных решений в этой области. Ученые Пермского Политеха разработали ортез для реабилитации травмированных пальцев. Его основу составляет термоусаживаемая трубка из особого сшитого полиэтилена, обладающего памятью формы.

21 октября, 11:00
НИУ ВШЭ
726

Исследование, опубликованное в журнале Neuroscience and Behavioral Physiology, помогает понять, как возраст влияет на характер и масштаб поражений, и закладывает основу для разработки персонализированных программ реабилитации после инсульта в раннем детстве. Инсульт — это острое нарушение кровотока в мозге: либо сосуд перекрывается тромбом/эмболом (ишемический инсульт), либо сосуд разрывается, и происходит кровоизлияние (геморрагический инсульт). Детский инсульт...

21 октября, 09:25
Елизавета Завьялова
1,4 тыс

Ибупрофен — одно из самых популярных обезболивающих. Однако ученые выяснили, что препарат также может обладать противораковыми свойствами.

20 октября, 08:06
Юлия Николаева
1,9 тыс

Человеческая способность к долгой жизни всегда вызывала любопытство у исследователей и историков. На протяжении истории встречались люди, которые проживали намного дольше среднестатистической нормы, что давало важные сведения о влиянии здоровья, наследственности и привычек на долголетие.

17 октября, 05:01
Александр Речкин
22

Слушатели узнают, как меняются отдельные отрасли медицины под влиянием ИИ.

16 октября, 10:11
ПНИПУ
547

Роспотребнадзор напоминает о профилактике ветряной оспы — инфекции, которую традиционно считают преимущественно детской. В 2024 году было зарегистрировано более 830 тыс. случаев заражения, а по величине экономического ущерба для страны болезнь заняла одно из лидирующих мест. В 2025-м ситуация не улучшилась: в ряде регионов страны показатели заболеваемости продолжают расти, а в Ямало-Ненецком автономном округе и Республике Башкортостан увеличились вдвое. Ученый Пермского Политеха объяснил причины такой динамики и роста случаев ветрянки среди взрослых.

16 октября, 08:23
Александр Речкин
73

Слушатели узнают про все аспекты применения лишайников людьми.

13 октября, 14:48
НовГУ
220

Саркопения – прогрессирующая потеря мышечной массы – одно из проявлений хронической болезни почек (ХБП). В свою очередь, ХБП встречается у каждого десятого человека в мире. И с каждым годом число заболевших растет. Помимо того, что пациенты с саркопенией чаще падают и получают переломы, атрофия мышц ухудшает их умственные способности. Это выявили заместитель директора Медицинского института НовГУ Митхат Гасанов и выпускник направления «Лечебное дело» Медицинского института НовГУ Нил Павар. Сегодня врачам доступны различные методы диагностики патологии, и важно учитывать её при планировании лечения.

13 октября, 08:09
Андрей Привалов
649

Антибиотики произвели революцию в медицине, но их чрезмерное использование ускоряет появление устойчивых к препаратам микроорганизмов.

12 октября, 21:42
Елизавета Завьялова
396

В России начались тестирования вакцины для профилактики аллергии. Препарат должен спасти от аллергии на пыльцу березы, а также перекрестные пищевые аллергии.

Подтвердить?
Подтвердить?
Причина отклонения
Подтвердить?
Не получилось опубликовать!

Вы попытались написать запрещенную фразу или вас забанили за частые нарушения.

Понятно
Жалоба отправлена

Мы обязательно проверим комментарий и
при необходимости примем меры.

Спасибо
Аккаунт заблокирован!

Из-за нарушений правил сайта на ваш аккаунт были наложены ограничения. Если это ошибка, напишите нам.

Понятно
Что-то пошло не так!

Наши фильтры обнаружили в ваших действиях признаки накрутки. Отдохните немного и вернитесь к нам позже.

Понятно
Лучшие материалы
Закрыть
Войти
Регистрируясь, вы соглашаетесь с правилами использования сайта и даете согласие на обработку персональных данных.
Ваша заявка получена

Мы скоро изучим заявку и свяжемся с Вами по указанной почте в случае положительного исхода. Спасибо за интерес к проекту.

Понятно