Этот пост добавлен читателем Naked Science в раздел «Сообщество». Узнайте как это сделать по ссылке.
Уведомления
Авторизуйтесь или зарегистрируйтесь, чтобы оценивать материалы, создавать записи и писать комментарии.
Авторизуясь, вы соглашаетесь с правилами пользования сайтом и даете согласие на обработку персональных данных.
Новый препарат «омолодит» кости и хрящи
Каждый пятый житель США сталкивается с остеоартритом, вызванный старением или травмой. Однако ученые разработали препарат, который в перспективе сможет восстанавливать поврежденные хрящи и возвращать подвижность суставов.

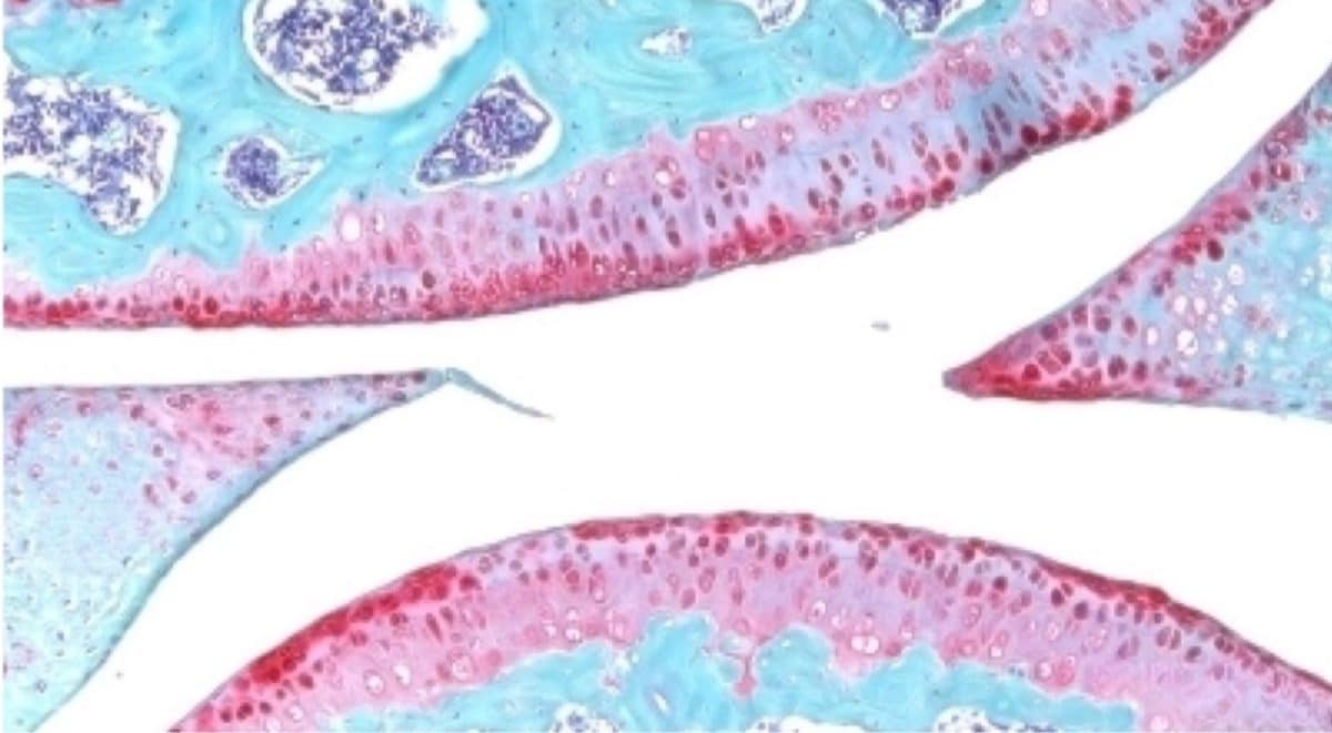
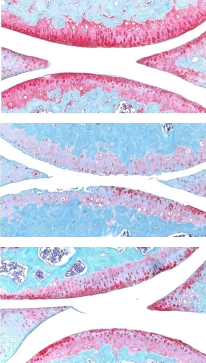
Ученые из Стэнфордского университета разработали препарат, помогающий восстанавливать поврежденные хрящи и возвращать подвижность суставов. Как показали исследования на мышах, инъекция блокирует активность белка, участвующего в старении, и обращает вспять естественную потерю хряща в коленных суставах. Результаты исследования опубликованы в журнале Science.
Предварительные исследования показали, что лечение также может предотвратить развитие артрита после травм колена, таких как разрыв передней крестообразной связки. С такими травмами часто сталкиваются профессиональные спортсмены и любители.
Ученые проверили разработку на образцах человеческой ткани после операций по замене коленного сустава. Эти образцы включали внеклеточный матрикс в суставе и клетки хондроцитов, генерирующие хрящ. Они отреагировали на лечение, образуя новый, функциональный хрящ.
Белок 15-PGDH, также известный как герозим, — это фермент, который с возрастом становится более активным. Этот фермент обнаружили эти же исследователи в 2023 году. Белок также приводит к потере функции тканей. Заблокировав функции 15-PGDH с помощью небольшой молекулы, исследователи выяснили, что это приводит к увеличению мышечной массы и выносливости старых животных. Экспрессия 15-PGDH у молодых мышей, напротив, привела к сокращению и ослаблению их мышц. Герозим также участвует в регенерации костей, нервов и клеток крови.

Результаты исследования показали, что можно регенерировать хрящ, потерянный из-за старения или артрита, с помощью перорального препарата или местной инъекции. Это избавляет пациентов от замены коленного и тазобедренного суставов. Препарата сейчас находится на стадии клинических испытаний.
Каждую весну оплодотворенные матки шмелей выходят из зимовки и основывают новые колонии. Но как они умудряются выжить, если во время «спячки» их подземное убежище часто подтапливают талые или дождевые воды? Первыми на этот вопрос в 2024 году ответила команда канадских биологов. Они выяснили, что шмели способны безопасно проводить под водой до недели. Теперь другая группа ученых решила выяснить, какой именно физиологический механизм стоит за этим феноменом.
Существует мнение, что астронавты в космосе — «балласт». Но на практике в сложных условиях именно люди выполняют ключевую работу, а автоматы резко уступают им по возможностям. Поэтому научных работ по итогам лунных экспедиций людей было больше, чем по итогам работы на Луне всех автоматов за всю историю. Несмотря на это, существует серьезная вероятность того, что у нового американского средства доставки людей на Луну не будет возможности ручной посадки.
Уже давно в социальных сетях распространяются видеоролики с воющими под музыку собаками. Одни воспринимают такое поведение как случайную реакцию на звук, другие полагают, что за этим скрываются вокальные способности, которые, возможно, собаки унаследовали от своих предков — древних волков. Команда ученых из США решила проверить, действительно ли домашние питомцы различают высоту звука и пытаются подстроить под нее свой голос, или же это просто совпадение, своего рода инстинктивный отклик на мелодию без всякой «музыкальности».
Коллектив климатологов из Института географии РАН, Института физики атмосферы имени А. М. Обухова РАН и МФТИ разобрал одну из самых загадочных страниц климатической летописи: почему Арктика так резко потеплела в первой половине XX века, причем особенно сильно зимой. Ученые оценили, какую долю в тех температурных скачках могли сыграть «внутренние ритмы» атмосферы и океана Северного полушария и почему ответ меняется в зависимости от того, как именно отделять естественные колебания климата от внешних факторов вроде роста парниковых газов и загрязнения воздуха аэрозолями.
Каждую весну оплодотворенные матки шмелей выходят из зимовки и основывают новые колонии. Но как они умудряются выжить, если во время «спячки» их подземное убежище часто подтапливают талые или дождевые воды? Первыми на этот вопрос в 2024 году ответила команда канадских биологов. Они выяснили, что шмели способны безопасно проводить под водой до недели. Теперь другая группа ученых решила выяснить, какой именно физиологический механизм стоит за этим феноменом.
Согласно гипотезе о так называемой Еврогондване, в эпоху динозавров Европа, как часть северного суперконтинента Лавразия, еще не полностью отделилась от южного суперконтинента Гондвана и животные могли свободно мигрировать между Европой и Африкой. Однако новый анализ найденных в Венгрии костей первобытного крокодила показал, что его сходство с гондванскими видами обусловлено не близким родством, а схожим образом жизни.
В ноябре 2025 года при взлете российской ракеты с Байконура к МКС с существенной высоты упала кабина обслуживания 8У216. Поскольку в 2010-х годах из экономии средств у нас отказались от дублирования стартовых площадок, это создало ситуацию временной невозможности пилотируемых полетов. Теперь, всего через три месяца после происшествия, «Роскосмос» смог решить проблему, поставив запасную кабину обслуживания, найденную на складах Минобороны. Весенние пуски к МКС, запланированные ранее, теперь имеют шансы пройти в срок.
Одна сторона сыплет более дорогими и сложными баллистическими ракетами, другая — относительно дешевыми крылатыми. Но при этом первая на порядок беднее второй. А что у них с технологическим уровнем для наземной войны, и почему, кстати, глава второй избегает даже самого этого слова? Попробуем разобраться в реальных возможностях военных машин сторон потенциально самого опасного конфликта 2026 года.
В той части Пиренеев, которые находятся на территории Испании, исследователи обнаружили первые доказательства добычи золота в эпоху Римской империи. На месте древних рудников нашли сложные гидравлические сооружения и остатки водохранилища, возраст которых определили с помощью метода оптического датирования. Открытие прольет свет на инженерные приемы римлян и поставит точку в многолетнем споре: действительно ли римляне добывали золото в этом регионе.
Вы попытались написать запрещенную фразу или вас забанили за частые нарушения.
Понятно
Из-за нарушений правил сайта на ваш аккаунт были наложены ограничения. Если это ошибка, напишите нам.
Понятно
Наши фильтры обнаружили в ваших действиях признаки накрутки. Отдохните немного и вернитесь к нам позже.
Понятно
Мы скоро изучим заявку и свяжемся с Вами по указанной почте в случае положительного исхода. Спасибо за интерес к проекту.
Понятно
Последние комментарии