Этот пост добавлен читателем Naked Science в раздел «Сообщество». Узнайте как это сделать по ссылке.
Уведомления
Авторизуйтесь или зарегистрируйтесь, чтобы оценивать материалы, создавать записи и писать комментарии.
Авторизуясь, вы соглашаетесь с правилами пользования сайтом и даете согласие на обработку персональных данных.
Мышечная масса замедлила старение мозга
Американские исследователи выяснили, что соотношение мышц и скрытого жира на животе связано со старением мозга. Оказалось, что более молодой мозг был у людей с большим количеством мышц.

Тела с большей долей мышечной массой и меньшим количеством скрытого жира на животе с большей вероятностью будут иметь более здоровый и молодой мозг. К такому выводу пришли авторы исследования, которое они представят на ежегодном собрании радиологического общества Северной Америки, сообщает EurekAlert.
«Более здоровый мозг, в свою очередь, снижает в будущем риск таких заболеваний, как болезнь Альцгеймера» — рассказал старший автор исследования Сайрус Раджи из Института радиологии Маллинкродта Медицинской школы Вашингтонского университета в Сент-Луисе, штат Миссури.
Ученым давно известно, что с возрастом мышцы уменьшаются, а скрытый жир на животе увеличивается. Как пояснил Раджи, новое исследование показывает, что эти показатели связаны и со старением мозга. Измерение мышечной и жировой массы в теле — важный индикатор состояния мозга и его возраста.
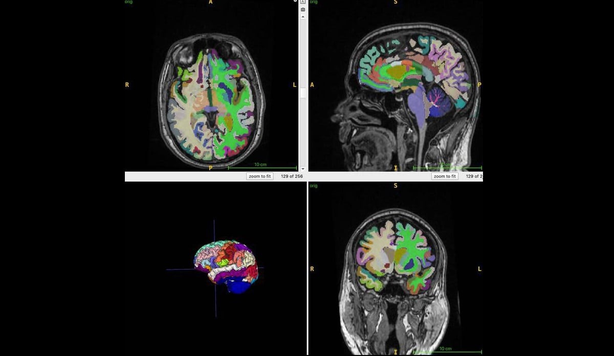
Во время исследования, которое сейчас еще продолжается, ученые обследовали с помощью МРТ тела 1164 здоровых человек из четырех клиник. Женщин среди них было 52%. Средний возраст участников — 55,17 года. Ученые использовали Т1-взвешенные последовательности. При использовании этого метода, жир на МРТ-снимках выглядит светлым, а жидкость — темной. Это помогает оптимально визуализировать мышечную, жировую и мозговую ткани. Алгоритм искусственного интеллекта авторы использовали, чтобы количественно оценить общий нормализованный объем мышц, висцерального жира на животе, подкожного жира и возраста мозга.
Исследователи обнаружили, что более высокое соотношение висцерального жира на животе к мышечной массе связано с большим возрастом мозга. Подкожный жир заметного влияния не оказывал.
Раджи отметил, что рост мышечной массы и снижение висцерального жира — это полезные цели. По его словам, исследование подтвердило широко распространенную гипотезу, что биомаркеры состава тела связаны со здоровьем мозга. Это заложило основу для включения этих биомаркеров в будущие исследования различных методов лечения.
Сегодня проблема рационального использования ресурсов в логистике становится ключевой, а значит, в транспортных системах приходится переосмысливать саму логику перевозок. Исследование белорусских инженеров из компании UST Inc. показывает, что недостаточно простого перехода на электротягу или возобновляемые источники энергии — важно уменьшить энергозатраты транспорта на единицу выполненной работы, то есть повысить удельную энергоэффективность. Подобный подход реализуется в транспортно-инфраструктурных комплексах uST.
Позавчера, 27 ноября 2025 года, при запуске космонавтов к МКС на стартовую площадку № 31 упала кабина обслуживания стартового комплекса. Это означает, что новые пуски оттуда до починки невозможны. К сожалению, в 2010-х годах, в рамках «оптимизации» расходов, резервную площадку (с которой летал Юрий Гагарин) упразднили. Поэтому случилось беспрецедентное: в XXI веке страна с пилотируемой космической программой осталась без средств запуска людей на орбиту. Пока ремонт не закончится, проблема сохранится. Чем это может грозить?
В Передовой инженерной школе КНИТУ-КАИ (ПИШ КАИ) действуют временные научные коллективы (ВНК), работающие над реальными инженерными задачами. Одним из наиболее ярких результатов стала работа ВНК-4, созданного для развития технологий в области легких авиационных систем. Проект реализуется под руководством Никиты Сёмина, который также возглавляет специальное образовательное пространство (СОП) ПИШ КАИ «Авиамоделирование».
Позавчера, 27 ноября 2025 года, при запуске космонавтов к МКС на стартовую площадку № 31 упала кабина обслуживания стартового комплекса. Это означает, что новые пуски оттуда до починки невозможны. К сожалению, в 2010-х годах, в рамках «оптимизации» расходов, резервную площадку (с которой летал Юрий Гагарин) упразднили. Поэтому случилось беспрецедентное: в XXI веке страна с пилотируемой космической программой осталась без средств запуска людей на орбиту. Пока ремонт не закончится, проблема сохранится. Чем это может грозить?
Японские биологи повторили античную технологию производства вина из изюма, чтобы выяснить механизм его брожения. Исследователи показали, что сушеный виноград, в отличие от свежего, накапливает на поверхности дикие дрожжи и способен превращать воду в алкоголь без внесения дополнительных заквасок.
Долгое время ученые полагали, что сотни гигантских статуй на острове Пасхи создали представители местной общины под руководством одного вождя. Однако авторы нового исследования поставили эту гипотезу под сомнение. Детальная трехмерная карта главного каменного карьера острова указала на более сложную картину. Вероятно, монументы были плодом творчества и соперничества небольших независимых групп.
Позавчера, 27 ноября 2025 года, при запуске космонавтов к МКС на стартовую площадку № 31 упала кабина обслуживания стартового комплекса. Это означает, что новые пуски оттуда до починки невозможны. К сожалению, в 2010-х годах, в рамках «оптимизации» расходов, резервную площадку (с которой летал Юрий Гагарин) упразднили. Поэтому случилось беспрецедентное: в XXI веке страна с пилотируемой космической программой осталась без средств запуска людей на орбиту. Пока ремонт не закончится, проблема сохранится. Чем это может грозить?
Японские биологи повторили античную технологию производства вина из изюма, чтобы выяснить механизм его брожения. Исследователи показали, что сушеный виноград, в отличие от свежего, накапливает на поверхности дикие дрожжи и способен превращать воду в алкоголь без внесения дополнительных заквасок.
Человеческие языки разнообразны, но это разнообразие ограничивается повторяющимися закономерностями. Пытаясь описать правила, которым подчиняются различия в грамматике, лингвисты сформулировали ряд так называемых грамматических универсалий — утверждений, предположительно верных для всех или большинства языков мира. Международная команда ученых провела статистический анализ на материале 2430 языков и обнаружила, что соответствующими действительности можно считать около трети таких утверждений.
Вы попытались написать запрещенную фразу или вас забанили за частые нарушения.
Понятно
Из-за нарушений правил сайта на ваш аккаунт были наложены ограничения. Если это ошибка, напишите нам.
Понятно
Наши фильтры обнаружили в ваших действиях признаки накрутки. Отдохните немного и вернитесь к нам позже.
Понятно
Мы скоро изучим заявку и свяжемся с Вами по указанной почте в случае положительного исхода. Спасибо за интерес к проекту.
Понятно
Последние комментарии