Этот пост добавлен читателем Naked Science в раздел «Сообщество». Узнайте как это сделать по ссылке.
Уведомления
Авторизуйтесь или зарегистрируйтесь, чтобы оценивать материалы, создавать записи и писать комментарии.
Авторизуясь, вы соглашаетесь с правилами пользования сайтом и даете согласие на обработку персональных данных.
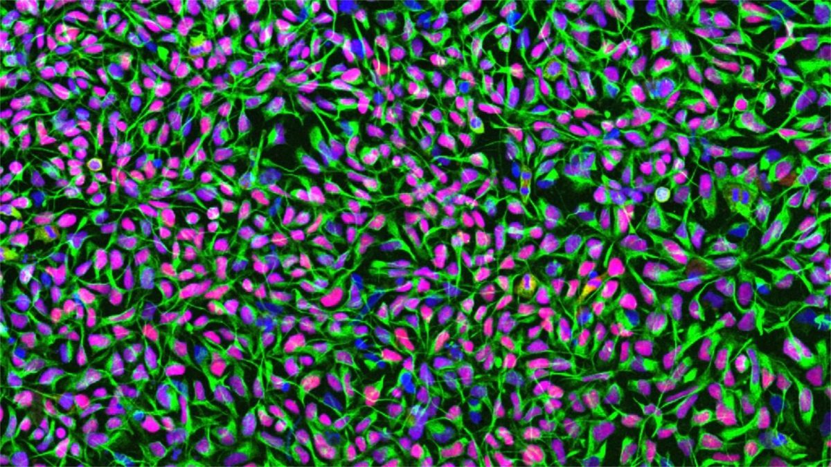
Ущерб от инсульта обратили с помощью стволовых клеток
Ученые смогли обратить вспять повреждения от инсульта у мышей с помощью терапии стволовыми клетками. Это приближает исследователей к открытию методов лечения людей, восстанавливающихся после инсульта.

Четверть взрослых людей сталкивается за свою жизнь с инсультом. Половина из них получает остаточные повреждения, такие как паралич или нарушение речи. Это происходит из-за того, что внутреннее кровотечение или недостаток кислорода необратимо убивают клетки мозга. Сейчас нет методов лечения таких повреждений.
Международная группа ученых из Швейцарии и США хотела доказать, что нейральные стволовые клетки обладают потенциалом для регенерации ткани мозга. Результаты их исследования опубликованы в Nature Communications.
В исследованиях использовались нейральные стволовые клетки человека, из которых могут образовываться различные типы клеток нервной системы. Стволовые клетки получили из индуцированных плюрипотентных стволовых клеток, которые могут быть созданы из нормальных соматических клеток человека.

Исследователи вызвали у мышей перманентный инсульт, характеристики которого близки проявлению инсульта у человека. Животных генетически модифицировали, чтобы они не отторгали стволовые клетки человека.
Через неделю ученые трансплантировали стволовые клетки в поврежденную область мозга. Они следили за результатами, используя различные визуализирующие и биохимические методы. Исследователи обнаружили, что стволовые клетки выживали в течение всего периода наблюдения — пяти недель. Большинство из них превратились в нейроны, взаимодействующие с уже существующими клетками мозга.
Исследователи обнаружили и другие признаки регенерации: образовывались новые кровеносные сосуды, уменьшались воспалительные процессы и улучшалась целостность гематоэнцефалического барьера. Трансплантация стволовых клеток у мышей также обратила двигательные нарушения, вызванные инсультом.
В перспективе исследователи рассматривают вариант терапевтического применения стволовых клеток на людях. Ученым предстоит минимизировать риски и упростить потенциальное применение метода.
Долгие годы исследователи полагали, что внутренняя структура полости носа неандертальцев была устроена таким образом, что помогала этим людям переносить холод. Однако авторы нового исследования поставили под сомнение эту гипотезу. Ученые впервые проанализировали носовую полость неандертальца в хорошо сохранившемся черепе и выяснили, что его нос не был приспособлен к суровому климату.
Согласно учебникам истории, в бронзовом веке в казахской степи кочевали лишь немногочисленные племена со своими стадами. Но в начале 2000-х там обнаружили древнее поселение с остатками крупных домов, которое могло быть административным либо культурным центром. Это навело ученых на мысль, что жизнь в степи складывалась куда сложнее и была более организованной, чем предполагалось. Международная команда ученых представила новые результаты исследования этого поселения и выяснила, что на самом деле оно представляло собой крупнейший в этом регионе протогородской центр с масштабным производством оловянистой бронзы.
В темных лабиринтах подземного муравейника разыгрывается коварный сценарий, достойный политического триллера. Вместо того чтобы силой захватить трон, королева одного вида муравьев применяет хитрую тактику. Она проникает в чужую крепость и с помощью поддельного химического сигнала подстрекает верную стражу к свержению собственной повелительницы. Результат — жестокая казнь законной королевы и добровольное подчинение всего муравейника новой владычице.
Согласно учебникам истории, в бронзовом веке в казахской степи кочевали лишь немногочисленные племена со своими стадами. Но в начале 2000-х там обнаружили древнее поселение с остатками крупных домов, которое могло быть административным либо культурным центром. Это навело ученых на мысль, что жизнь в степи складывалась куда сложнее и была более организованной, чем предполагалось. Международная команда ученых представила новые результаты исследования этого поселения и выяснила, что на самом деле оно представляло собой крупнейший в этом регионе протогородской центр с масштабным производством оловянистой бронзы.
Ю-Цон Тан (YuCong Tang) — концептуальный художник из Китая. Научно-фантастические мотивы — одно из основных направлений его творчества. Он исследует, как научные открытия и технологии будущего трансформируют среду обитания.
В темных лабиринтах подземного муравейника разыгрывается коварный сценарий, достойный политического триллера. Вместо того чтобы силой захватить трон, королева одного вида муравьев применяет хитрую тактику. Она проникает в чужую крепость и с помощью поддельного химического сигнала подстрекает верную стражу к свержению собственной повелительницы. Результат — жестокая казнь законной королевы и добровольное подчинение всего муравейника новой владычице.
Проанализировав данные наблюдений, полученных с помощью наземных обсерваторий за последние два десятилетия, астрономы обнаружили потенциально обитаемый мир — суперземлю Gliese 251 c (GJ 251 с). Планета обращается вокруг красного карлика на расстоянии около 18 световых лет от Земли и считается одним из самых перспективных кандидатов для поисков жизни.
По расчетам, большинство «гостей» из других звездных систем летят к Земле примерно со стороны созвездия Геркулес. Скорее всего, они время от времени падают на нашу планету, просто мы еще не научились это замечать. Как удалось вычислить, чаще всего они должны падать зимой и где-то в окрестностях экватора.
В современном доме, насыщенном разнообразной техникой, удлинители стали незаменимым атрибутом, позволяющим обеспечить электропитанием все необходимые устройства. Однако мало кто задумывается, что привычное использование этого аксессуара может нести серьезную угрозу безопасности. По статистике, значительная часть бытовых пожаров происходит из-за неправильной эксплуатации электропроводки и вспомогательных устройств. Какие приборы категорически нельзя подключать через удлинители и почему это может привести к трагическим последствиям, рассказывает профессор кафедры наноэлектроники РТУ МИРЭА, доктор физико-математических наук Алексей Юрасов.
Вы попытались написать запрещенную фразу или вас забанили за частые нарушения.
Понятно
Из-за нарушений правил сайта на ваш аккаунт были наложены ограничения. Если это ошибка, напишите нам.
Понятно
Наши фильтры обнаружили в ваших действиях признаки накрутки. Отдохните немного и вернитесь к нам позже.
Понятно
Мы скоро изучим заявку и свяжемся с Вами по указанной почте в случае положительного исхода. Спасибо за интерес к проекту.
Понятно
Последние комментарии