Уведомления
Авторизуйтесь или зарегистрируйтесь, чтобы оценивать материалы, создавать записи и писать комментарии.
Авторизуясь, вы соглашаетесь с правилами пользования сайтом и даете согласие на обработку персональных данных.
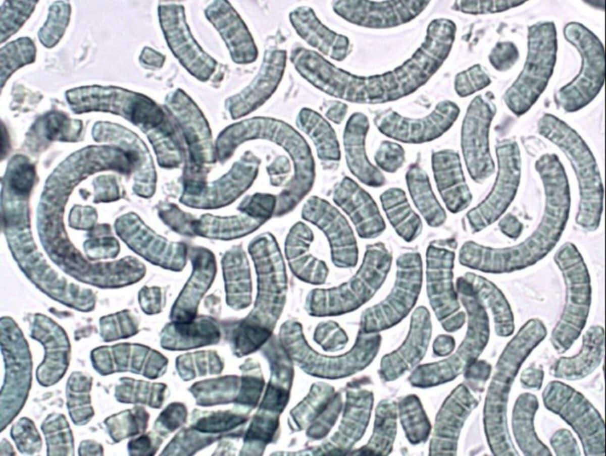
Биополимер ускорил сбор спирулины и улучшил качество пигмент-белкового комплекса
Ученые из МФТИ и Национального исследовательского центра «Курчатовский институт» выяснили, какие параметры природного полимера хитозана критически важны для быстрого и эффективного сбора биомассы нитчатой цианобактерии Arthrospira platensis (более известной под коммерческим названием спирулина). Исследователи установили, что основная характеристика, влияющая на процесс, — молекулярная масса полимера. Эксперименты показали, что правильно подобранный хитозан позволяет «склеить» и осадить 95% биомассы цианобактерии всего за пять минут. Такой подход не только ускоряет сбор урожая, но и повышает чистоту и антиоксидантную активность ценного пигмент-белкового комплекса С-фикоцианина, извлекаемого из биомассы.
Спирулина (Arthrospira, или Limnospira) — одна из самых популярных в мире цианобактерий. Ее биомасса используется в пищевой промышленности, косметологии и как источник ценных биологически активных веществ, одно из наиболее ценных из которых — синий пигмент-белковый комплекс С-фикоцианин. Однако сбор биомассы (ее отделение от огромных объемов культуральной жидкости) — одна из важнейших проблем отрасли. Использование традиционных методов в ряде случаев может быть весьма длительным по времени, энергозатратным, повреждать клетки и пр. Флокуляция — процесс «склеивания» клеток в хлопья — рассматривается как щадящая и экономичная альтернатива. Главный вопрос: как подобрать идеальный флокулянт, который не только эффективно соберет биомассу, но и не испортит конечный продукт?
Хитозан, получаемый из панцирей ракообразных,— биоразлагаемый и нетоксичный кандидат. Но его свойства — молекулярная масса, вязкость и степень деацетилирования (показывающая, сколько активных аминогрупп доступно на полимерной цепи) — могут сильно варьироваться. До сих пор не было системного понимания, как каждый из этих параметров влияет на скорость и эффективность сбора биомассы Arthrospira platensis В-12619, а также сохранность извлекаемых из нее ценных метаболитов.
«Эта работа — продолжение исследований, проводимых в нашей лаборатории,— рассказала доцент кафедры нано, био, информационных и когнитивных технологий МФТИ, начальник лаборатории глубокой переработки биомассы НИЦ «Курчатовский институт» Яна Сергеева.— Мы подобрали оптимальные параметры хитозана, используемого для быстрого сбора биомассы цианобактерии, который не только не оказывает негативного влияния на сохранность целевого продукта, но и улучшает характеристики С-фикоцианина, который, в свою очередь, представляет интерес для биомедицинских исследований».
В ходе исследования ученые протестировали пять образцов хитозана с разными характеристиками. Эксперименты показали, что вязкость и степень деацетилирования (в изученном диапазоне 58–82%) не оказывали решающего влияния на процесс. Ключевым параметром оказалась молекулярная масса полимера. Образцы со средней молекулярной массой (150–250 кг/моль) обеспечивали сверхбыструю флокуляцию с эффективностью >90% уже через 5–10 минут. Оптимальным для сбора биомассы A. platensis был признан хитозан с молекулярной массой 250 ± 50 кг/моль и степенью деацетилирования 65 ± 5%. Работа опубликована в журнале Applied Biochemistry and Microbiology.

Что еще важнее, использование хитозана не просто ускорило сбор, но и напрямую улучшило качество целевого продукта — экстракта фикобилипротеинов (С-фикоцианина и аллофикоцианина). По сравнению с контролем, где биомассу собирали центрифугированием, количество извлеченных пигментов не только осталось неизменным, но и величина индекса чистоты возросла на 41–50%, а антиоксидантная активность — на 30%.
Повышение чистоты экстракта меняет его рыночный потенциал. Пигмент с индексом чистоты выше 1,5 уже пригоден для косметической промышленности, что позволяет миновать дорогие дополнительные стадии очистки. Таким образом, правильный подбор флокулянта работает как встроенная стадия предварительного концентрирования и очистки целевого продукта.
Разработанный подход открывает путь к созданию экономичных, быстрых и «зеленых» технологий сбора микроводорослей. Он позволяет не только сократить операционные расходы на этапе сбора биомассы, но и сразу получать сырье более высокого качества для пищевой и косметической индустрий, повышая общую рентабельность производства.
Биологи получили прямые доказательства поедания косатками представителей собственного вида. Оторванные спинные плавники со следами больших зубов указали на охоту плотоядных китообразных на слабую соседнюю популяцию. Угроза смертельных нападений заставила рыбоядные группы косаток создавать неразлучные семейные кланы.
Исследователи смоделировали последствия распыления в марсианской атмосфере аэрозолей для создания искусственного парникового эффекта. Выяснилось, что это может привести к парадоксальному результату: вместо ожидаемого более комфортного климата будущая колония на «нагретой» Красной планете окажется посреди такого же лютого холода и притом окружена обезвоженным грунтом.
В ноябре 2025 года при взлете российской ракеты с Байконура к МКС с существенной высоты упала кабина обслуживания 8У216. Поскольку в 2010-х годах из экономии средств у нас отказались от дублирования стартовых площадок, это создало ситуацию временной невозможности пилотируемых полетов. Теперь, всего через три месяца после происшествия, «Роскосмос» смог решить проблему, поставив запасную кабину обслуживания, найденную на складах Минобороны. Весенние пуски к МКС, запланированные ранее, теперь имеют шансы пройти в срок.
В ноябре 2025 года при взлете российской ракеты с Байконура к МКС с существенной высоты упала кабина обслуживания 8У216. Поскольку в 2010-х годах из экономии средств у нас отказались от дублирования стартовых площадок, это создало ситуацию временной невозможности пилотируемых полетов. Теперь, всего через три месяца после происшествия, «Роскосмос» смог решить проблему, поставив запасную кабину обслуживания, найденную на складах Минобороны. Весенние пуски к МКС, запланированные ранее, теперь имеют шансы пройти в срок.
В той части Пиренеев, которые находятся на территории Испании, исследователи обнаружили первые доказательства добычи золота в эпоху Римской империи. На месте древних рудников нашли сложные гидравлические сооружения и остатки водохранилища, возраст которых определили с помощью метода оптического датирования. Открытие прольет свет на инженерные приемы римлян и поставит точку в многолетнем споре: действительно ли римляне добывали золото в этом регионе.
Разное отношение домашних животных к хозяевам давно стало предметом споров, обсуждений и шуток. Ученые из Венгрии показали, что собаки демонстрируют по отношению к человеку уровень альтруизма, сходный с детским, тогда как кошки ищут в партнерстве с человеком прежде всего свою выгоду.
Астрономы недавно проанализировали базу данных о падающих на Землю объектах и пришли к выводу, что два из них прибыли из межзвездного пространства. Известна не только дата, но и место падения каждого из них.
«Любить лишь можно только раз», — писал поэт Сергей Есенин, а герои культовых сериалов приходили к выводу, что «настоящая» влюбленность случается в жизни максимум дважды. Однако ни один из этих тезисов не подкреплен научными данными. Американские исследователи подошли к вопросу иначе: опросили более 10 тысяч человек и вывели среднее число сильных влюбленностей, возможных в течение жизни.
В ноябре 2025 года при взлете российской ракеты с Байконура к МКС с существенной высоты упала кабина обслуживания 8У216. Поскольку в 2010-х годах из экономии средств у нас отказались от дублирования стартовых площадок, это создало ситуацию временной невозможности пилотируемых полетов. Теперь, всего через три месяца после происшествия, «Роскосмос» смог решить проблему, поставив запасную кабину обслуживания, найденную на складах Минобороны. Весенние пуски к МКС, запланированные ранее, теперь имеют шансы пройти в срок.
Вы попытались написать запрещенную фразу или вас забанили за частые нарушения.
Понятно
Из-за нарушений правил сайта на ваш аккаунт были наложены ограничения. Если это ошибка, напишите нам.
Понятно
Наши фильтры обнаружили в ваших действиях признаки накрутки. Отдохните немного и вернитесь к нам позже.
Понятно
Мы скоро изучим заявку и свяжемся с Вами по указанной почте в случае положительного исхода. Спасибо за интерес к проекту.
Понятно
