Уведомления
Авторизуйтесь или зарегистрируйтесь, чтобы оценивать материалы, создавать записи и писать комментарии.
Авторизуясь, вы соглашаетесь с правилами пользования сайтом и даете согласие на обработку персональных данных.
Ученые предложили столкнуть три теории сознания в эксперименте со слепым пятном глаза
Нейробиологи разработали строгий экспериментальный протокол, чтобы выяснить, как мозг конструирует картину мира в области слепого пятна сетчатки. Это поможет формально проверить и сравнить предсказания трех популярных теорий сознания.
Природа сознания остается одной из самых сложных проблем современной науки. Несмотря на десятилетия работы, нейрофизиологи и философы не пришли к единой модели, которая объясняла бы субъективный опыт. Существует множество концепций: от теории функциональных систем П. К. Анохина до теории глобального рабочего пространства Бернарда Баарса. Однако большинство гипотез трудно проверить экспериментально, так как они оперируют абстрактными понятиями. Отсутствие эмпирических доказательств позволяет одновременно существовать десяткам противоречащих друг другу идей.
Чтобы преодолеть этот тупик, ученые выбрали три современные теории и создали условия, в которых они дают взаимоисключающие прогнозы. Результаты разработки протокола опубликовали в журнале PLOS One.
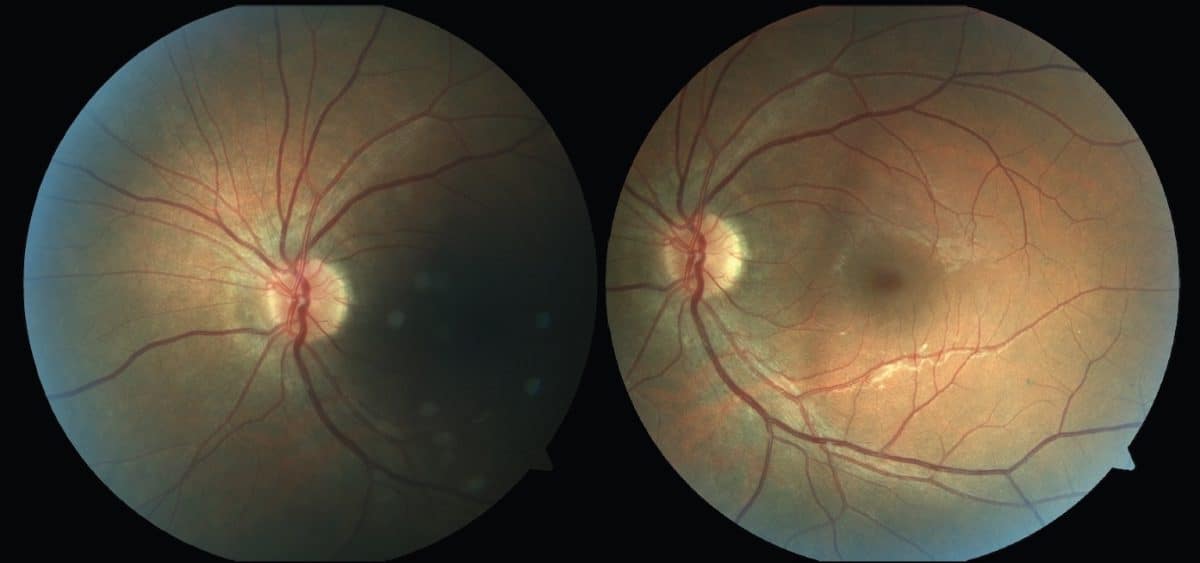
В центре внимания оказались теория интегрированной информации (IIT), а также две ветви теории прогностической обработки — активный вывод (AI) и нейрорепрезентализм (NREP). «Полигоном» для битвы идей стало слепое пятно — область сетчатки, где нет фоторецепторов из-за выхода зрительного нерва.
Выбор слепого пятна неслучаен. Наука до сих пор не имеет однозначного ответа, как именно мозг справляется с этой «дырой» в зрительном поле. Либо нейронные сети полностью компенсируют отсутствие данных, достраивая идеальную картинку, либо в восприятии пространства возникают искажения, которые человек просто не замечает. Разные теории сознания объясняют этот процесс по-разному.
Авторы научной работы предложили серию из трех психофизических задач, которые должны выполнить по 32 участника в каждом тесте. Чтобы изолировать эффекты восприятия, исследователи применили дихоптическую презентацию стимулов с помощью цветных очков. Эта техника позволяет показывать изображение одному глазу, в то время как другой глаз видит только метку слепого пятна. За точностью фиксации взгляда следит высокоскоростной айтрекер: если глаз смещается более чем на два градуса, система отменяет попытку, чтобы исключить попадание картинки на чувствительную зону сетчатки.
Во время тестов добровольцы будут оценивать расстояние между двумя парами точек, сравнивать размеры кругов и определять кривизну траектории движения объекта. Стимулы будут появляться либо непосредственно в проекции слепого пятна, либо в симметричной зоне с нормальным зрением. Сравнение ответов позволит математически вычислить величину искажения восприятия и точность суждений для каждого случая.
Суть эксперимента заключается в фундаментальных различиях архитектуры проверяемых теорий. Теория интегрированной информации (IIT) связывает сознание с причинно-следственной физической структурой нейронных связей. Поскольку в зоне слепого пятна отсутствует входящий сигнал от сетчатки, эта теория предсказывает неизбежное искажение пространства. Согласно IIT, расстояние между точками, проходящее через слепую зону, должно казаться короче, а объекты — меньше.
Напротив, теории прогностической обработки (AI и NREP) исходят из того, что мозг работает как машина предсказаний. Он строит внутреннюю модель мира и постоянно обновляет ее, чтобы минимизировать ошибки. Сторонники этих взглядов полагают, что внутренние модели мозга успешно компенсируют анатомический дефект.
Компьютерная симуляция, которую провели ученые, подтвердила это различие: модели AI и NREP прогнозируют, что искажения пространства будут нулевыми или минимальными. Возможно лишь незначительное снижение точности (рост «шума» в данных), но не систематическое смещение, как в случае с IIT.
Однако протокол уже на стадии разработки имеет очевидные слабые места. Сами авторы исследования признали, что интерпретация будущих результатов может оказаться сложнее, чем предполагает моделирование. Проверяемые теории предсказывают лишь направление эффекта (будет искажение или нет), но не его точную величину. Это оставляет пространство для спекуляций.
Кроме того, существует риск получить данные, которые не впишутся ни в одну из моделей. Например, если в зоне слепого пятна объекты будут казаться больше, а не меньше, или если искажения проявятся непредсказуемым образом.
Самое главное: неясно, что стало преградой для авторов самим провести эксперимент в рамках одной научной публикации, а не «растягивать» на серию. В любом случае ждем теперь проверки этого протокола на практике, хотя вероятность, что в попытке обобщить, ученые ухватились за еще один частный случай, кажется, велика.
Согласно гипотезе о так называемой Еврогондване, в эпоху динозавров Европа, как часть северного суперконтинента Лавразия, еще не полностью отделилась от южного суперконтинента Гондвана и животные могли свободно мигрировать между Европой и Африкой. Однако новый анализ найденных в Венгрии костей первобытного крокодила показал, что его сходство с гондванскими видами обусловлено не близким родством, а схожим образом жизни.
Треть века назад Штаты и Мексика подписали Североамериканское соглашение о свободной торговле. Авторы новой научной работы показали, что это спровоцировало рост войн между бандами и подъем смертности среди молодых мужчин на десятки процентов — но только в тех зонах, которые были интересны картелям. Всего после подписания соглашения в Мексике было убито (оценка с учетом исчезнувших трупов) более 0,85 миллиона человек.
Новые данные показали, что удар зонда DART не только изменил орбитальный период небольшого спутника Диморфа вокруг его «родителя» Дидима, но и вызвал небольшое изменение движения всей бинарной системы вокруг Солнца. Эти результаты укрепляют уверенность ученых в том, что технология кинетического удара, при заблаговременном обнаружении опасного объекта, может помочь отклонить потенциально опасный астероид от столкновения с Землей.
Одна сторона сыплет более дорогими и сложными баллистическими ракетами, другая — относительно дешевыми крылатыми. Но при этом первая на порядок беднее второй. А что у них с технологическим уровнем для наземной войны, и почему, кстати, глава второй избегает даже самого этого слова? Попробуем разобраться в реальных возможностях военных машин сторон потенциально самого опасного конфликта 2026 года.
Российские ученые из МФТИ с коллегами из Института прикладной математики им. М. В. Келдыша РАН и Института физики Земли им. О.Ю. Шмидта РАН разработали инновационный метод для расчета равновесного распределения несмешивающихся жидкостей в пористой среде. Результаты применения этого метода можно использовать в разработках по повышению нефтеотдачи и гидрологии, а также геологического СО2-хранения.
Запасы лития в России требуют переоценки и могут оказаться в разы выше, чем считалось до 2025 года. Об этом говорится в исследовании «Состояние ресурсной базы критически важных металлов и элементов для развития современных технологий», подготовленном учеными РГУ нефти и газа (НИУ) имени И.М. Губкина.
Астрономы недавно проанализировали базу данных о падающих на Землю объектах и пришли к выводу, что два из них прибыли из межзвездного пространства. Известна не только дата, но и место падения каждого из них.
В ноябре 2025 года при взлете российской ракеты с Байконура к МКС с существенной высоты упала кабина обслуживания 8У216. Поскольку в 2010-х годах из экономии средств у нас отказались от дублирования стартовых площадок, это создало ситуацию временной невозможности пилотируемых полетов. Теперь, всего через три месяца после происшествия, «Роскосмос» смог решить проблему, поставив запасную кабину обслуживания, найденную на складах Минобороны. Весенние пуски к МКС, запланированные ранее, теперь имеют шансы пройти в срок.
«Любить лишь можно только раз», — писал поэт Сергей Есенин, а герои культовых сериалов приходили к выводу, что «настоящая» влюбленность случается в жизни максимум дважды. Однако ни один из этих тезисов не подкреплен научными данными. Американские исследователи подошли к вопросу иначе: опросили более 10 тысяч человек и вывели среднее число сильных влюбленностей, возможных в течение жизни.
Вы попытались написать запрещенную фразу или вас забанили за частые нарушения.
Понятно
Из-за нарушений правил сайта на ваш аккаунт были наложены ограничения. Если это ошибка, напишите нам.
Понятно
Наши фильтры обнаружили в ваших действиях признаки накрутки. Отдохните немного и вернитесь к нам позже.
Понятно
Мы скоро изучим заявку и свяжемся с Вами по указанной почте в случае положительного исхода. Спасибо за интерес к проекту.
Понятно

Последние комментарии