Уведомления
Авторизуйтесь или зарегистрируйтесь, чтобы оценивать материалы, создавать записи и писать комментарии.
Авторизуясь, вы соглашаетесь с правилами пользования сайтом и даете согласие на обработку персональных данных.
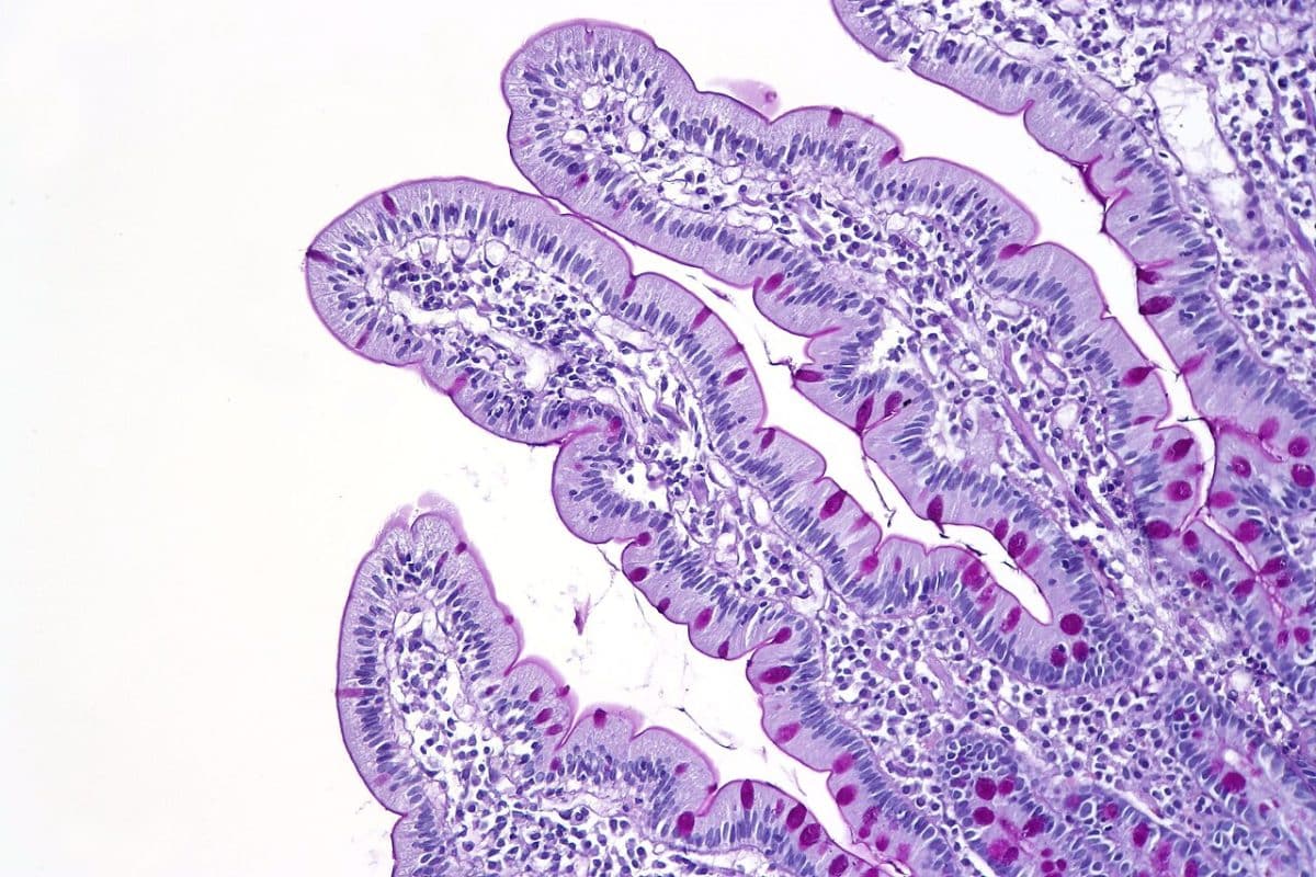
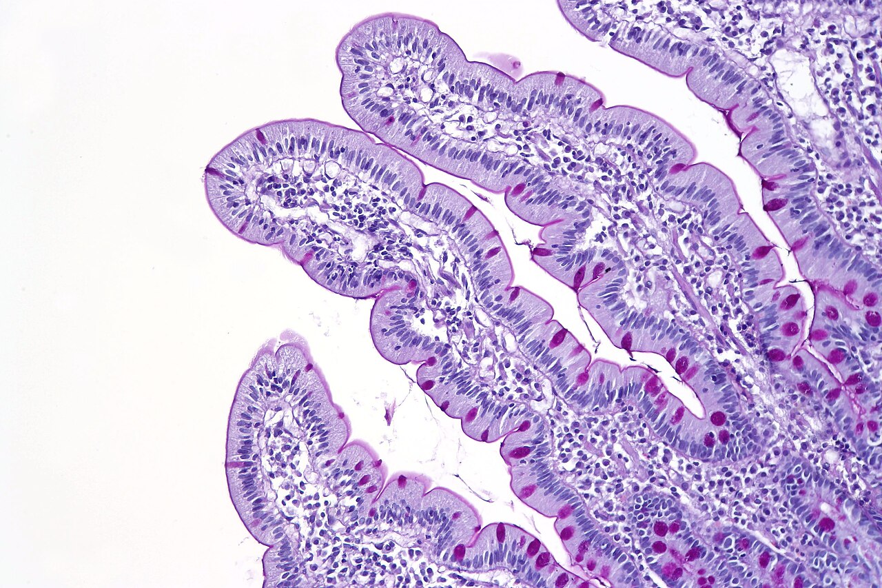
В кишечнике млекопитающих нашли древний антибиотик избирательного действия
Группа биологов и иммунологов выяснила роль белка интелектин-2 (Itln2), функции которого долгое время оставались для науки белым пятном. Исследование показало, что это древнее оружие слизистых оболочек, работающее как «двойной агент»: белок одновременно укрепляет защитный барьер кишечника и прицельно уничтожает широкий спектр бактерий.
Интелектины — семейство белков, которые выделяются на слизистых оболочках. Если роль первого из них (Itln1) была известна, то его «брат» интелектин-2 (Itln2) оставался загадкой. Врачи замечали, что уровень этого белка меняется при заражении глистами или при болезни Крона, но не понимали механизм его работы.
Ситуацию осложнял курьезный факт: самые популярные лабораторные мыши (линия C57BL/6), на которых десятилетиями изучали иммунитет, вообще лишены этого гена из-за давней мутации. Ученые пытались понять, как работает защита кишечника, глядя на животных, у которых «вырезан» кусок этой защиты. Чтобы исправить это, авторы исследования, опубликованного в журнале Nature Communications, создали специальную линию мышей с восстановленным геном Itln2.
Используя специальные чипы с тысячами различных углеводов, исследователи выяснили, что Itln2 работает как высокоточный сканер. Он распознает специфический сахар — терминальную β-D-галактопиранозу. Этот сахар входит в состав клеточных стенок и защитных капсул множества бактерий (и полезных, и вредных, грамположительных и грамотрицательных). Для бактерий это важная структурная молекула. Но еще этот вид галактозы есть в организме человека: в муцинах — белках, из которых состоит наша слизь.
Такой выбор мишени позволяет белку действовать в двух направлениях. Во-первых, для обороны: Itln2 находит сахар в муцинах слизи, связывается с ними и «сшивает» между собой, как цемент. Это делает защитный слой кишечника плотнее и непроходимее для врагов.
Во-вторых, для нападения: белок находит бактерии по этому маркеру и атакует их. Мышиная версия Itln2 напрямую разрушает оболочки бактерий, вызывая их гибель. Человеческий вариант (hItln2) действует иначе: он склеивает бактерии в комки, останавливая их размножение.
Любопытно, что белок способен связываться и с бактериями, и с клетками человека (так как нужный сахар есть и там, и там). Однако убивает он только микробы, оставляя человеческие ткани невредимыми. Каким образом он отличает наши клетки от бактериальных, пока не известно.
Авторы исследования пришли к выводу, что интелектины — это не просто очередные антибиотики, а «эволюционно древнее решение», появившееся у хордовых задолго до сложной иммунной системы с антителами, Т-клетками и другими адаптивными элементами.
Энтомологи сравнили устойчивость коммерческих и диких гибридных медоносных пчел к главному паразиту ульев — клещу варроа. Полевые и лабораторные тесты показали, что гибриды заражаются в пять раз реже, поскольку их личинки не нравятся паразитам. Пчела-гибрид выживает без регулярных химических обработок и, что важно для пчеловодов, сохраняет миролюбивый характер.
Ученые давно знают как с хорошим приближением прогнозировать рост поверхностей. Но экспериментально подтвердить точное соответствие реальных процессов и модели — гораздо более сложная задача, у которой, тем не менее, есть решение.
На Меркурии может появиться первый в истории «вечный рассвет»: ученые предложили отправить туда планетоход, который будет постоянно ехать вдоль границы дня и ночи. Подход открывает путь к изучению одного из самых загадочных миров Солнечной системы без риска разрушительного перегрева.
Когда международная экспедиционная группа, исследующая море Уэдделла в Антарктиде на борту ледокола «Поларштерн», попыталась укрыться от шторма, ученые и экипаж судна удивились внезапному появлению острова, не обозначенного ни на одной морской карте.
Ученые давно знают как с хорошим приближением прогнозировать рост поверхностей. Но экспериментально подтвердить точное соответствие реальных процессов и модели — гораздо более сложная задача, у которой, тем не менее, есть решение.
Окаменелые остатки рептилии возрастом 289 миллионов лет сохранили полное анатомическое устройство грудной клетки ранних покорителей суши. Благодаря нетронутым хрящам исследователи реконструировали механику первого полноценного реберного дыхания. Наличие в тканях оригинальных белков подтвердило, что сложные органические молекулы способны сохраняться в палеонтологической летописи почти на 100 миллионов лет дольше, чем считалось.
В парках некоторых стран все чаще можно заметить странную картину: синицы и воробьи вместо пуха и веточек приносят в клювах сигаретные окурки. Орнитологи из Польши решили выяснить, зачем птицы выстилают гнезда мусором, пропитанным никотином. Оказалось, пернатые нашли способ использовать вредную человеческую привычку для защиты своего потомства. Но, как это часто бывает в природе, у медали есть обратная сторона.
Марсоход «Персеверанс» обнаружил в камнях на кромке кратера Езеро спектральные признаки минерала корунда, из которого на Земле образуются рубины и сапфиры. Такие спектры на Красной планете зарегистрировали впервые. Теперь ученые пытаются понять, при каких процессах он мог там сформироваться, ведь условия на Марсе заметно отличаются от тех, в которых корунд обычно образуется на Земле.
Четыре человека, летящие к Луне, столкнулись с целым рядом мелких неприятностей — от низкой температуры в начале работы до поломки мочевыводящей системы туалета на вторые сутки и необходимости взамен пользоваться пакетами. К счастью, пока самые крупные сложности удалось компенсировать. Но все они вместе могут сдвинуть ситуацию к решению, о котором Naked Science уже говорил в нашем видеоподкасте о миссии: не исключено, что при высадке астронавтов на Луне их корабль состыкуют со Starship не на окололунной, а уже на околоземной орбите.
Вы попытались написать запрещенную фразу или вас забанили за частые нарушения.
Понятно
Что-то в вашем комментарии показалось подозрительным, поэтому перед публикацией он пройдет модерацию.
Понятно
Из-за нарушений правил сайта на ваш аккаунт были наложены ограничения. Если это ошибка, напишите нам.
Понятно
Наши фильтры обнаружили в ваших действиях признаки накрутки. Отдохните немного и вернитесь к нам позже.
Понятно
Мы скоро изучим заявку и свяжемся с Вами по указанной почте в случае положительного исхода. Спасибо за интерес к проекту.
Понятно

Последние комментарии