Уведомления
Авторизуйтесь или зарегистрируйтесь, чтобы оценивать материалы, создавать записи и писать комментарии.
Авторизуясь, вы соглашаетесь с правилами пользования сайтом и даете согласие на обработку персональных данных.
Инсульт у детей: ученые выяснили, в каком возрасте мозг поражается сильнее
Исследование, опубликованное в журнале Neuroscience and Behavioral Physiology, помогает понять, как возраст влияет на характер и масштаб поражений, и закладывает основу для разработки персонализированных программ реабилитации после инсульта в раннем детстве. Инсульт — это острое нарушение кровотока в мозге: либо сосуд перекрывается тромбом/эмболом (ишемический инсульт), либо сосуд разрывается, и происходит кровоизлияние (геморрагический инсульт). Детский инсульт...
Исследование, опубликованное в журнале Neuroscience and Behavioral Physiology, помогает понять, как возраст влияет на характер и масштаб поражений, и закладывает основу для разработки персонализированных программ реабилитации после инсульта в раннем детстве.
Инсульт — это острое нарушение кровотока в мозге: либо сосуд перекрывается тромбом/эмболом (ишемический инсульт), либо сосуд разрывается, и происходит кровоизлияние (геморрагический инсульт). Детский инсульт имеет специфику, поскольку мозг ребенка постоянно растет и изменяется. Несмотря на то что механизм развития инсульта у детей и взрослых одинаковый (разрыв сосуда, его тромбоз), природа патологии различается. У взрослых это происходит либо из-за эмболов — тромбов, сгустков крови, которые застревают в сосуде и перекрывают кровоток, либо из-за атеросклероза, когда холестерин оседает на стенках сосуда и закупоривает его. Ни того ни другого у детей нет.
«Чаще всего детские инсульты встречаются у малышей с пороками сердца, даже у тех, кого прооперировали. Это связано с тем, что сердечно-сосудистая система у таких детей работает неправильно. Причем для некоторых перинатальных инсультов мы даже не можем определить, когда именно они случились: в момент появления на свет, сразу после или до рождения», — объясняет одна из авторов статьи, заведующая Центром когнитивных нейронаук НИУ ВШЭ в Перми Софья Куликова.
Большой размер поражения всегда связывают с плохим прогнозом, но неизвестно, справедливо ли это для детей, чей мозг обладает чрезвычайной пластичностью. Чтобы ответить на этот вопрос, ученые из нескольких российских университетов и медицинских учреждений (НИУ ВШЭ, УрФУ, МГУ, Института эволюционной физиологии и биохимии имени И.М. Сеченова РАН, УГМУ, Сколковского института науки и технологий, а также Детской городской клинической больницы №9 и Областной детской клинической больницы Екатеринбурга) сравнили объем поражений мозга при инсульте у малышей разного возраста.
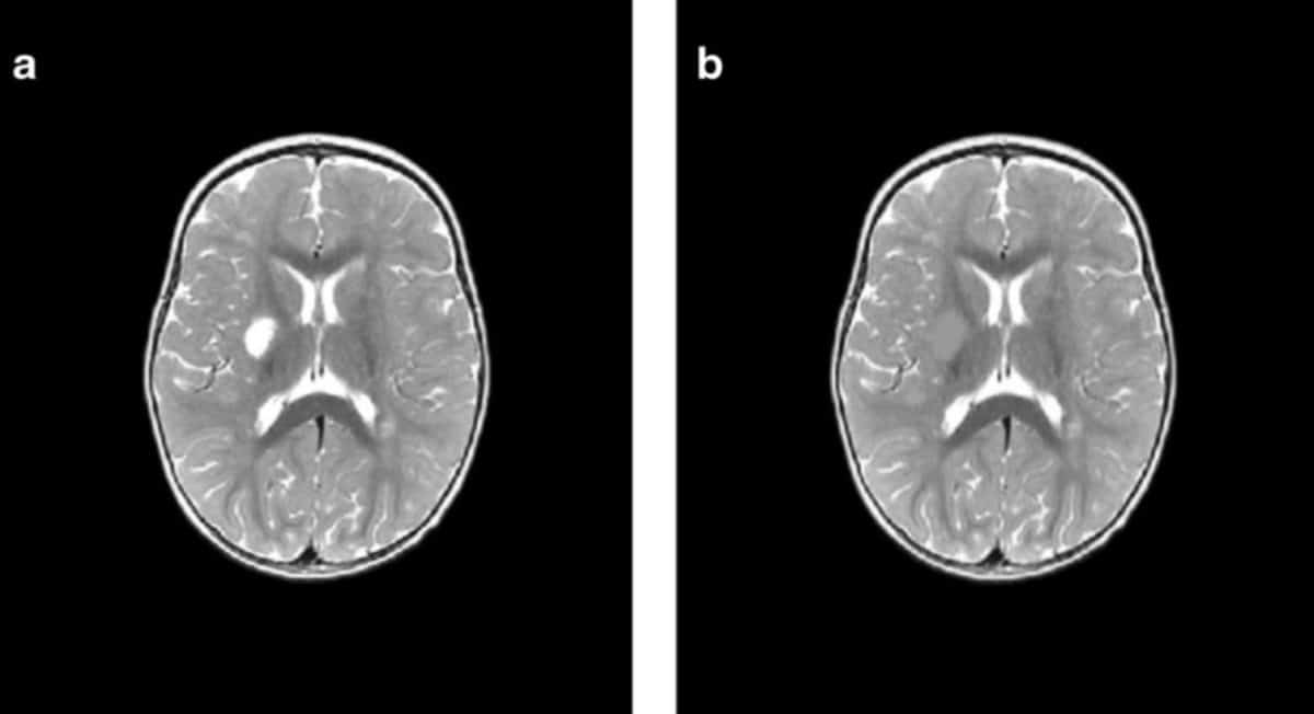
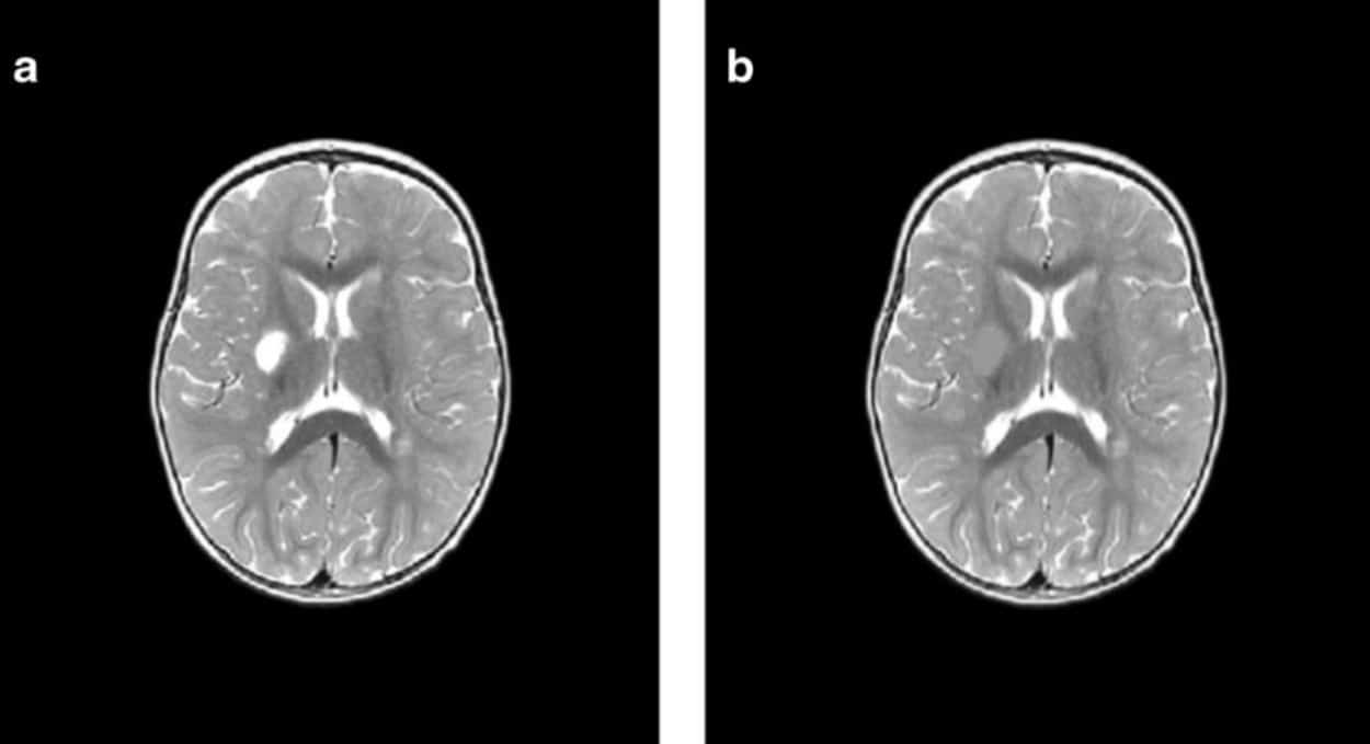
Исследователи проанализировали данные МРТ 35 детей, которые перенесли ишемический инсульт в возрасте до двух лет и лечились в больницах Екатеринбурга, Перми, Челябинска и Тюмени в период с 2015 по 2019 год. Возраст детей на момент инсульта варьировался от четырех дней до одного года 11 месяцев.
Для оценки последствий инсульта исследователи применили современный метод анализа снимков — воксель-базированную морфометрию. Упрощенно эту технологию можно представить так: на каждом МРТ-снимке слой за слоем вручную обводят контуры повреждений области мозга, а специальная компьютерная программа затем вычисляет точный объем этой зоны в кубических миллиметрах. Такая технология позволяет получить наиболее объективные данные по сравнению с традиционным МРТ-отчетом, направленным на определение качественных характеристик (точных границ инсульта, его локализации). Воксель-базированная морфометрия позволяет получить количественные данные: абсолютный и относительный объем поражения от общего объема мозга. Результат применения такого метода — точные числовые значения для последующего статистического анализа и сравнения.
Исследователи поделили малышей на две категории по возрасту: перенесших перинатальный и педиатрический инсульты. Первые пережили нарушение мозгового кровообращения до 28-го дня жизни, вторые — в возрасте от 28 дней до двух лет.
Оказалось, что инсульты у младенцев и детей, достигших месячного возраста, различаются и по масштабам, и по характеру повреждений. Так, у малышей с перинатальным инсультом объем повреждения мозга оказался намного серьезнее, чем у старших: 7,9% против 1,6% от объема мозга. Также у новорожденных чаще встречались нарушения, затрагивающие кору мозга, смешанные и двусторонние инсульты, а у группы детей от 28 дней до двух лет преобладали локальные подкорковые очаги и повреждения только левого полушария.
«Детский мозг очень пластичен, и чем младше ребенок, тем выше пластичность. Поэтому, с одной стороны, более ранний инсульт имеет более обширные поражения, но как это отразится на дальнейшем развитии ребенка, мы пока не знаем. Вовсе необязательно, что большой объем поражений будет связан с неблагоприятным исходом. Бывает так, что зона поражения затрагивает чуть ли не половину мозга, а ребенок впоследствии спокойно учится в школе. А бывает, что поражены всего несколько миллиметров, а ребенок на всю жизнь остается инвалидом», — отмечает Софья Куликова.
Анализ данных также показал, что почти половина инсультов (48,6%) были левосторонними, что согласуется с выводами других исследований. По словам Софьи Куликовой, левосторонние инсульты чаще встречаются и у взрослых. Это связывают с асимметрией сердечно-сосудистой системы: сонные артерии отходят от аорты не симметрично, и возникает вероятность, что тромб образуется в левой стороне мозга, а не в правой. Также, возможно, дело в том, что левая часть мозга в большей степени отвечает за речь, нарушения которой более заметны, чем правосторонние патологии. То есть, возможно, левосторонние инсульты просто чаще диагностируются. С чем такая локализация связана у детей, пока неизвестно.
Второй, менее очевидный вывод касался конкретных зон поражения. Выяснилось, что чаще всего удар у детей приходился на критически важные для развития лобную (68,6% случаев) и теменные (54,3%) доли. А именно эти зоны отвечают за движение, планирование, речь, мышление и восприятие пространства.
Но наиболее уязвимыми оказались зоны, снабжаемые кровью средней мозговой артерией, — 94,3% случаев. Почти у 63% детей была также повреждена внутренняя капсула, что часто ведет к когнитивным нарушениям, таким как невнимательность, апатия, абулия (безволие) и проблемы с памятью. В среднем объем поражения мозга составил примерно 20 тысяч кубических миллиметров — около 3,4% общего объема детского мозга.
На следующем этапе исследований ученые планируют изучить последствия инсульта, произошедшего в разном возрасте, у тех же самых детей. Сегодня многие из них уже учатся в школе, другие остались отстающими в развитии. Исследователи хотят сравнить показатели их когнитивных способностей с локализацией и объемом нарушения мозгового кровообращения, которое они пережили в раннем детстве. Итогом работы ученые видят создание программы прогнозирования и реабилитации после инсульта и для взрослых, и для детей.
Человеческие эмбрионы до восьми недель способны полностью восстанавливать повреждения, как аксолотли. Но потом организм выключает гены, которые позволяют это делать — и наука пока не знает почему. Но она уже пытается вернуть такую возможность взрослым. И хотя масштаб задачи огромен, кое-чего ученым из России уже удалось добиться. Причем это не только имплантаты, но и биофабрикация живых тканей на замену утраченным.
Австралийские археологи обнаружили редкий клад каменных орудий на западе штата Квинсленд. В яме на берегу пересыхающего водоема лежали 60 совершенно новых тесел, изготовленных в XIX веке. Ученые установили, что это был «торговый пакет», подготовленный для обмена в экономической сети аборигенов. Владелец не смог забрать ценный груз, вероятно, из-за конфликта с европейскими поселенцами.
В Передовой инженерной школе КНИТУ-КАИ (ПИШ КАИ) действуют временные научные коллективы (ВНК), работающие над реальными инженерными задачами. Одним из наиболее ярких результатов стала работа ВНК-4, созданного для развития технологий в области легких авиационных систем. Проект реализуется под руководством Никиты Сёмина, который также возглавляет специальное образовательное пространство (СОП) ПИШ КАИ «Авиамоделирование».
Позавчера, 27 ноября 2025 года, при запуске космонавтов к МКС на стартовую площадку № 31 упала кабина обслуживания стартового комплекса. Это означает, что новые пуски оттуда до починки невозможны. К сожалению, в 2010-х годах, в рамках «оптимизации» расходов, резервную площадку (с которой летал Юрий Гагарин) упразднили. Поэтому случилось беспрецедентное: в XXI веке страна с пилотируемой космической программой осталась без средств запуска людей на орбиту. Пока ремонт не закончится, проблема сохранится. Чем это может грозить?
Японские биологи повторили античную технологию производства вина из изюма, чтобы выяснить механизм его брожения. Исследователи показали, что сушеный виноград, в отличие от свежего, накапливает на поверхности дикие дрожжи и способен превращать воду в алкоголь без внесения дополнительных заквасок.
Долгое время ученые полагали, что сотни гигантских статуй на острове Пасхи создали представители местной общины под руководством одного вождя. Однако авторы нового исследования поставили эту гипотезу под сомнение. Детальная трехмерная карта главного каменного карьера острова указала на более сложную картину. Вероятно, монументы были плодом творчества и соперничества небольших независимых групп.
Позавчера, 27 ноября 2025 года, при запуске космонавтов к МКС на стартовую площадку № 31 упала кабина обслуживания стартового комплекса. Это означает, что новые пуски оттуда до починки невозможны. К сожалению, в 2010-х годах, в рамках «оптимизации» расходов, резервную площадку (с которой летал Юрий Гагарин) упразднили. Поэтому случилось беспрецедентное: в XXI веке страна с пилотируемой космической программой осталась без средств запуска людей на орбиту. Пока ремонт не закончится, проблема сохранится. Чем это может грозить?
Японские биологи повторили античную технологию производства вина из изюма, чтобы выяснить механизм его брожения. Исследователи показали, что сушеный виноград, в отличие от свежего, накапливает на поверхности дикие дрожжи и способен превращать воду в алкоголь без внесения дополнительных заквасок.
Человеческие языки разнообразны, но это разнообразие ограничивается повторяющимися закономерностями. Пытаясь описать правила, которым подчиняются различия в грамматике, лингвисты сформулировали ряд так называемых грамматических универсалий — утверждений, предположительно верных для всех или большинства языков мира. Международная команда ученых провела статистический анализ на материале 2430 языков и обнаружила, что соответствующими действительности можно считать около трети таких утверждений.
Вы попытались написать запрещенную фразу или вас забанили за частые нарушения.
Понятно
Из-за нарушений правил сайта на ваш аккаунт были наложены ограничения. Если это ошибка, напишите нам.
Понятно
Наши фильтры обнаружили в ваших действиях признаки накрутки. Отдохните немного и вернитесь к нам позже.
Понятно
Мы скоро изучим заявку и свяжемся с Вами по указанной почте в случае положительного исхода. Спасибо за интерес к проекту.
Понятно
