Уведомления
Авторизуйтесь или зарегистрируйтесь, чтобы оценивать материалы, создавать записи и писать комментарии.
Авторизуясь, вы соглашаетесь с правилами пользования сайтом и даете согласие на обработку персональных данных.
Ученые объяснили, как гравитация влияет на раковые клетки
Ключевой проблемой в лечении онкологических заболеваний считается пластичность опухолевых клеток — их способность из стабильного положения переходить в подвижное и образовывать метастазы. Традиционно такая смена состояний объяснялась биохимическими реакциями, однако ученые все чаще стали находить доказательства того, что важную роль в этом процессе играют и физические силы, в частности, гравитация. Однако ранее проведенные эксперименты не смогли объяснить механизм этого явления, что исключало возможность использовать полученные знания для создания новых терапевтических подходов. Ученые Пермского Политеха впервые создали математическую модель, объясняющую, как именно гравитация меняет состояние клетки. Это открывает путь к развитию новых стратегий лечения через управление механическим состоянием опухолей.
Сегодня рак по-прежнему остается одним из самых сложных и серьезных заболеваний. Несмотря на огромный прогресс в диагностике и лечении, стандартные методы — хирургия, химиотерапия, облучение — воздействуют не только на опухолевые клетки, но и на здоровые ткани, вызывая значительную нагрузку на организм. Побочные эффекты существующих методов лечения, развитие устойчивости к терапии и сохраняющиеся метастазы (вторичные очаги опухоли) — все это следствия неполного понимания фундаментальной природы злокачественных заболеваний.
Одна из главных причин агрессивности рака — его фенотипическая пластичность — умение клеток переключаться между разными состояниями. Например, они способны из стабильного положения перейти в подвижное и распространяться дальше по организму. Изменение состояний клетки зависит от активности определенных белков и генов, которые есть как в раковых, так и в здоровых клетках. В результате лекарства, нацеленные на подавление этих процессов в опухоли, неизбежно нарушают их и в нормальных тканях, что приводит к побочным эффектам и снижает эффективность лечения.
Долгое время считалось, что все ключевые процессы в клетке, включая переход от покоя к движению, управляются биохимическими сигналами — работой определенных белков и генов. Однако в последние годы ученые пришли к тому, что физические факторы также играют роль в ее поведении и судьбе. Например, давление, натяжение, жесткость клетки и обычная сила тяжести напрямую влияют на то, как клетка себя поведет.
Однако на Земле любое физическое воздействие мгновенно запускает химические реакции, поэтому изучать эти факторы по-отдельности в обычных условиях было невозможно. Ученые стали искать фундаментальную силу, влияние которой на клетку можно было бы устранить или ослабить. Это позволило бы не вносить изменений в ее биохимическую среду и изучить эффект только физического воздействия на поведение клетки. Таким вариантом оказалась гравитация, всегда и одинаково действующая на все живое на Земле. Эксперты предположили: если убрать эту силу, можно увидеть, как изменится внутренняя физика клетки. Это и привело к исследованию условий невесомости, где влияние гравитации сведено к минимуму.
Результаты показали, что клетки, в том числе раковые, начинают вести себя иначе и меняют форму. Это означало, что гравитация выступает в роли физического регулятора, который удерживает клетку в определенном положении, а ослабление этой силы влияет на появление новых состояний.
Хотя мировые ученые смогли зафиксировать сам факт изменения формы и поведения, они не нашли объяснение общего механизма, лежащего в основе переключений между разными состояниями. Без знания этого скрытого принципа все результаты экспериментов остаются неприменимы для создания методов управления опухолью и разработки новых терапевтических подходов к лечению.
Ученые Пермского Политеха создали математическую модель, с помощью которой впервые объяснили влияние физических сил, а именно гравитации, на изменение раковой клетки. Это открывает путь к развитию новой стратегии борьбы с онкологическими заболеваниями. Подобных результатов в мировой науке ранее не было. Статья опубликована в научном журнале Microgravity Science and Technology.
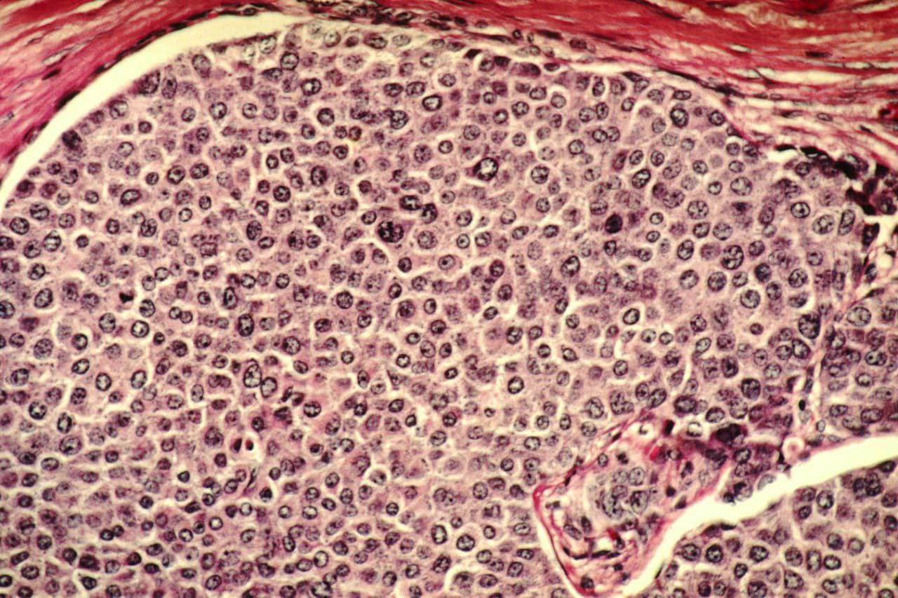
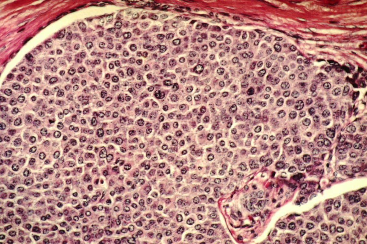
Для построения модели ученые опирались на уже известные эксперименты на клетках рака молочной железы, которые показали, что в невесомости они способны делиться на два разных типа. Одни становятся более «твердыми», а другие — «жидкими». Причем самое любопытное, что у «жидкого» типа клеток вновь активируется механизм апоптоза (запрограммированной смерти клетки), нарушение работы которого считается основной причиной развития и прогрессии онкологических заболеваний.
Эти два состояния есть и на Земле, они возникают в процессе развития рака. Однако переключение между ними — сложный процесс, требующий вмешательств в работу генов. В невесомости эти состояния появляются «мгновенно», поэтому если определить, как именно гравитация или ее отсутствие влияет на них, можно найти новый, более простой способ управлять раковыми клетками на Земле (например, с помощью специальных препаратов).
Особую роль в этом процессе играет цитоскелет, который является каркасом клетки и отвечает за ее движение, деление и реакцию на внешние воздействия. Ученые ПНИПУ предположили, что именно его изменение и лежит в основе смены фенотипа (внешнего вида и поведения).
Чтобы проверить эту гипотезу, эксперты создали физико-математическую модель, в которой сосредоточились на этом ключевом элементе клетки. С помощью нее они изучили изменения строения цитоскелета как под действием гравитации, так и в условиях невесомости, чтобы определить влияние этой фундаментальной физической силы на смену состояний.
Моделирование показало, что при наличии гравитации клетка была стабильна и сохраняла одну определенную форму. Однако в условиях невесомости она теряла свою устойчивость и могла «переключиться» в одно из двух состояний — стать либо «твердой», либо «жидкой».
Чтобы объяснить этот процесс, ученые ввели в модель специальный структурный параметр, который показывал «устойчивость» цитоскелета и его способность к изменениям. В условиях гравитации значение показателя было высоким, а клетка находилась только в одном положении. В невесомости параметр падал, и появлялось уже два возможных состояния.

Однако в какое именно положение она перейдет, определяет не предложенный показатель, а дополнительное физическое воздействие на клетку. В данном исследовании ученые применяли сжатие и растяжение. Такой выбор связан с тем, что они имитируют давление соседних клеток или натяжение при движении жидкости, которые возникает в организме. Моделирование с применением этих физических воздействий показало, что сжатие направляет клетку в «твердое» состояние, а растяжение, напротив, переключает в «жидкое».
— На основании результатов исследования мы сделали вывод о возможности управления клеткой. Для изменения необходимо сначала создать условия, при которых значение введенного нами структурного параметра окажется низким, чтобы клетка стала «готова» к изменениям. После этого можно направить ее в нужное состояние с помощью искусственно созданного слабого сжатия или растяжения. Таким способом мы можем повлиять на поведение и форму клетки, потенциально активировав нарушенный механизм апоптоза, что облегчит процесс лечения рака, — рассказал Александр Никитюк, доцент кафедры «Математическое моделирование систем и процессов» ПНИПУ.
Достоверность результатов исследования подтверждается тем, что при построении модели ученые опирались на уже известные из научной литературы данные о свойствах клеток. Кроме того, моделирование показало, что изменение гравитации влияет на возникновение «твердого» и «жидкого» состояний, что соответствует более ранним выводам в научной литературе. Согласование итогов исследования с установленными фактами подтвердило, что модель адекватно отражает влияние гравитации на поведение клеток.
— Результаты исследования открывают принципиально новый подход к управлению опухолью. Чтобы целенаправленно изменить форму и поведение (например, перевести раковую клетку в менее агрессивное состояние и сделать ее более уязвимой для лечения), достаточно искусственно понизить параметр и добавить слабое воздействие. Этого можно добиться не только путем «отключения» гравитации, но и с помощью специальных препаратов, использования механического напряжения, электрического поля и ультразвука, — отметил Александр Никитюк.
Дальнейшие исследования авторов будут направлены на экспериментальную проверку возможности управлять фенотипом раковых клеток путем изменения механических параметров их цитоскелета. Целью станет также разработка конкретных биомедицинских инструментов и подходов — например, химических агентов или биоматериалов, которые, имитируя эффект микрогравитации, смогут обратимо модифицировать опухоль для потенциальной терапии.
Биологи получили прямые доказательства поедания косатками представителей собственного вида. Оторванные спинные плавники со следами больших зубов указали на охоту плотоядных китообразных на слабую соседнюю популяцию. Угроза смертельных нападений заставила рыбоядные группы косаток создавать неразлучные семейные кланы.
Исследователи смоделировали последствия распыления в марсианской атмосфере аэрозолей для создания искусственного парникового эффекта. Выяснилось, что это может привести к парадоксальному результату: вместо ожидаемого более комфортного климата будущая колония на «нагретой» Красной планете окажется посреди такого же лютого холода и притом окружена обезвоженным грунтом.
В ноябре 2025 года при взлете российской ракеты с Байконура к МКС с существенной высоты упала кабина обслуживания 8У216. Поскольку в 2010-х годах из экономии средств у нас отказались от дублирования стартовых площадок, это создало ситуацию временной невозможности пилотируемых полетов. Теперь, всего через три месяца после происшествия, «Роскосмос» смог решить проблему, поставив запасную кабину обслуживания, найденную на складах Минобороны. Весенние пуски к МКС, запланированные ранее, теперь имеют шансы пройти в срок.
В ноябре 2025 года при взлете российской ракеты с Байконура к МКС с существенной высоты упала кабина обслуживания 8У216. Поскольку в 2010-х годах из экономии средств у нас отказались от дублирования стартовых площадок, это создало ситуацию временной невозможности пилотируемых полетов. Теперь, всего через три месяца после происшествия, «Роскосмос» смог решить проблему, поставив запасную кабину обслуживания, найденную на складах Минобороны. Весенние пуски к МКС, запланированные ранее, теперь имеют шансы пройти в срок.
В той части Пиренеев, которые находятся на территории Испании, исследователи обнаружили первые доказательства добычи золота в эпоху Римской империи. На месте древних рудников нашли сложные гидравлические сооружения и остатки водохранилища, возраст которых определили с помощью метода оптического датирования. Открытие прольет свет на инженерные приемы римлян и поставит точку в многолетнем споре: действительно ли римляне добывали золото в этом регионе.
Разное отношение домашних животных к хозяевам давно стало предметом споров, обсуждений и шуток. Ученые из Венгрии показали, что собаки демонстрируют по отношению к человеку уровень альтруизма, сходный с детским, тогда как кошки ищут в партнерстве с человеком прежде всего свою выгоду.
Астрономы недавно проанализировали базу данных о падающих на Землю объектах и пришли к выводу, что два из них прибыли из межзвездного пространства. Известна не только дата, но и место падения каждого из них.
«Любить лишь можно только раз», — писал поэт Сергей Есенин, а герои культовых сериалов приходили к выводу, что «настоящая» влюбленность случается в жизни максимум дважды. Однако ни один из этих тезисов не подкреплен научными данными. Американские исследователи подошли к вопросу иначе: опросили более 10 тысяч человек и вывели среднее число сильных влюбленностей, возможных в течение жизни.
В ноябре 2025 года при взлете российской ракеты с Байконура к МКС с существенной высоты упала кабина обслуживания 8У216. Поскольку в 2010-х годах из экономии средств у нас отказались от дублирования стартовых площадок, это создало ситуацию временной невозможности пилотируемых полетов. Теперь, всего через три месяца после происшествия, «Роскосмос» смог решить проблему, поставив запасную кабину обслуживания, найденную на складах Минобороны. Весенние пуски к МКС, запланированные ранее, теперь имеют шансы пройти в срок.
Вы попытались написать запрещенную фразу или вас забанили за частые нарушения.
Понятно
Из-за нарушений правил сайта на ваш аккаунт были наложены ограничения. Если это ошибка, напишите нам.
Понятно
Наши фильтры обнаружили в ваших действиях признаки накрутки. Отдохните немного и вернитесь к нам позже.
Понятно
Мы скоро изучим заявку и свяжемся с Вами по указанной почте в случае положительного исхода. Спасибо за интерес к проекту.
Понятно