Уведомления
Авторизуйтесь или зарегистрируйтесь, чтобы оценивать материалы, создавать записи и писать комментарии.
Авторизуясь, вы соглашаетесь с правилами пользования сайтом и даете согласие на обработку персональных данных.
Цифровой помощник помог оценить перспективы восстановления после черепно-мозговой травмы
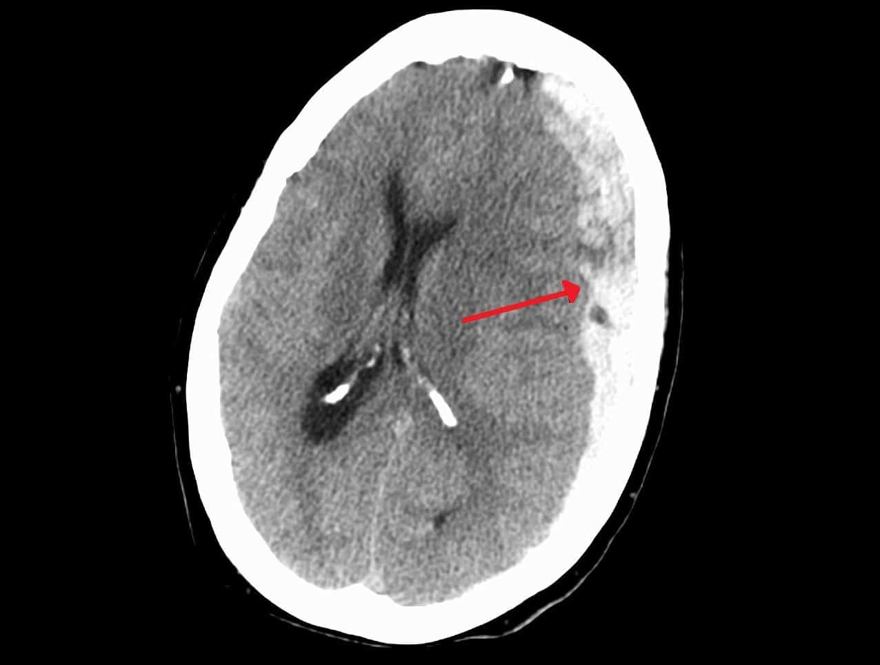
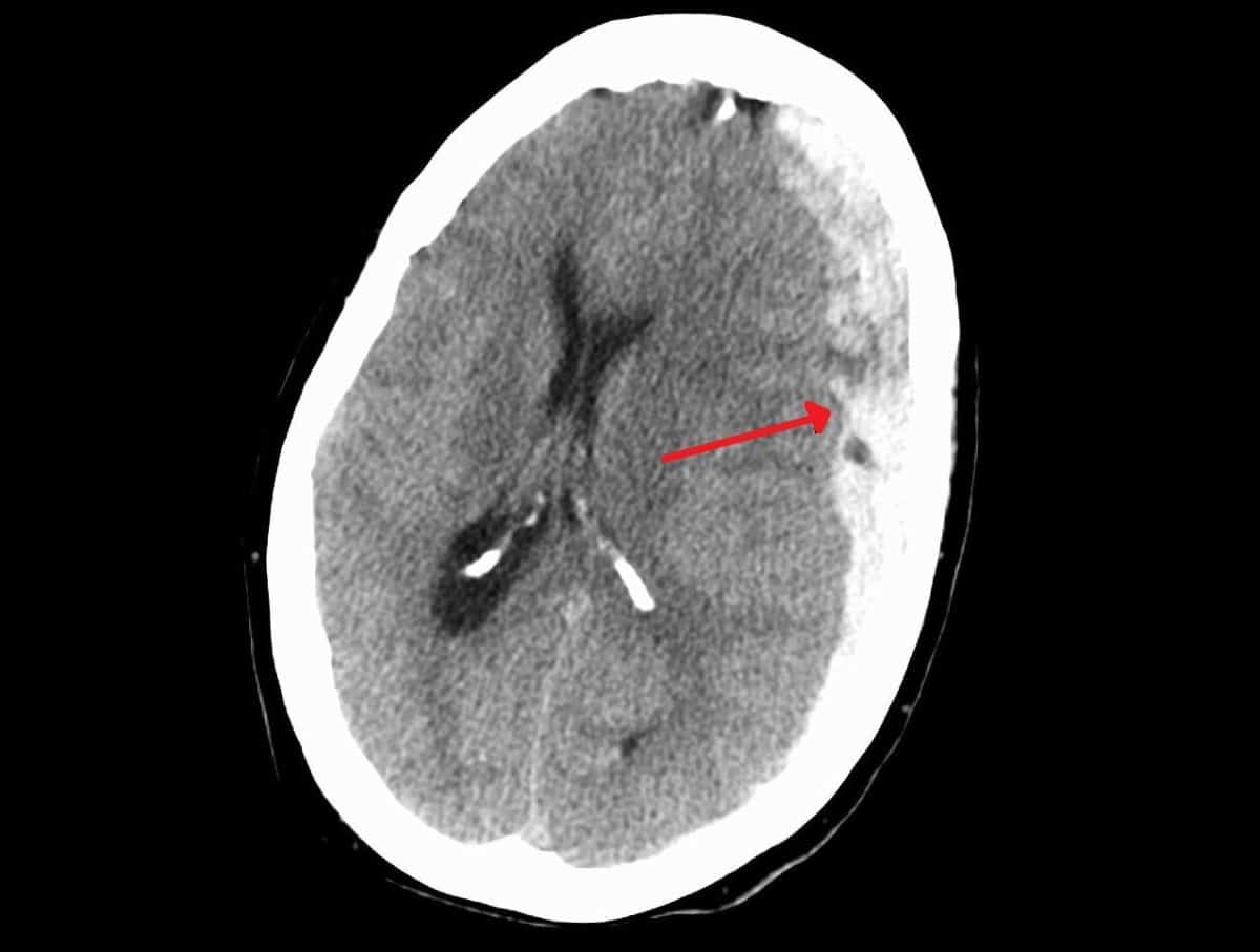
Ежегодно в России регистрируется около 600 тысяч случаев черепно-мозговых травм, причем до 40% всех внутричерепных кровоизлияний составляют субдуральные гематомы. Это опасное состояние, возникающее при разрыве сосудов между мозгом и черепом, приводит к сдавлению мозга и требует экстренного выбора лечения — консервативного или хирургического. Особую тревогу вызывает высокая летальность при обширных субдуральных гематомах, а также риск повторных кровоизлияний, с которыми сталкивается каждый третий пациент, принимающий препараты для разжижения крови. Ученые ПГМУ им. академика Е.А. Вагнера и ПНИПУ создали и запатентовали компьютерную программу, прогнозирующую перспективы лечения. В основу алгоритма легли клинические исследования, позволившие выделить ключевые прогностические факторы: возраст пациента и расположение гематомы. Система анализирует и другие параметры — объем кровоизлияния, время до госпитализации и прием антикоагулянтов. Разработка поможет врачам не только выбирать оптимальную тактику лечения, но и объективно оценивать шансы пациента на восстановление.
Травматическая субдуральная гематома — коварное и опасное последствие черепно-мозговой травмы, при котором кровь из поврежденных сосудов начинает скапливаться в узком пространстве под черепом, сдавливая мозг. Особую группу риска составляют пожилые пациенты: с возрастом мозг становится более уязвимым, а широкий прием антикоагулянтов (препаратов для разжижения крови), необходимых для профилактики инфарктов и инсультов, многократно повышает риск тяжелых последствий даже после незначительного падения или ушиба. Согласно данным клинических исследований смертность от таких травм достигает 10-14%, а каждый седьмой выживший пациент становится инвалидом. Ситуацию усугубляет сложность диагностики: хроническая гематома может неделями «маскироваться» под другие возрастные заболевания, такие как деменция или инсульт.
Высокая летальность и непредсказуемость результатов лечения побудили пермских ученых из ПГМУ им. академка Е.А. Вагнера и ПНИПУ сосредоточиться на выявлении объективных критериев, позволяющих прогнозировать результат лечения. Эксперты проанализировали случаи пациентов со схожими гематомами, поступивших в клинику в первые 6 часов после травмы. Всех пациентов разделили на три группы по расположению гематомы: лобно-височная, теменно-височная и лобно-теменно-затылочная области. Поскольку помощь всем оказали в одинаково сжатые сроки, врачи смогли объективно оценить, как локализация кровоизлияния влияет на результаты лечения. Исследователи выявили закономерность: среди всех пациентов, достигших хороших результатов лечения (60% от общего числа), на долю пациентов с гематомой в лобно-височной области пришлось 35% всех успешных исходов — это самый высокий показатель. Если кровоизлияние происходило в лобно-теменно-затылочной области, ситуация значительно ухудшалась: такие гематомы имели статистически больший объем, а пациенты поступали в более тяжелом состоянии.
Затем ученые сравнили результаты лечения молодых пациентов (22-29 лет) и людей старше 60 лет с субдуральными гематомами одинакового объема. Итоги оценивали по международной шкале Рэнкина, где ноль баллов означает полное здоровье, а шесть — летальный исход. Разница даже в один балл указывает на серьезное изменение качества жизни.
— Результаты стационарного лечения после проведенной нейрохирургической операции для удаления травматической субдуральной гематомы у представителей пожилого возраста оказываются менее эффективными, чем у пострадавших молодого возраста. Так, пожилые пациенты не только поступали в стационар в более тяжелом состоянии, но и показывали худшие результаты реабилитации. При выписке их средний балл по шкале Рэнкина составил 2,73 балла против 1,35 балла у молодых пациентов. Эта разница, составляющая более одного балла, соответствует переходу от практически полной самостоятельности к состоянию умеренной инвалидности, требующей помощи в быту, — Анатолий Баландин, доцент кафедры анатомии ПГМУ им. академика Е.А. Вагнера, доктор медицинских наук, врач-невролог.
Наиболее ярко возрастная разница проявилась при теменно-височной локализации гематом. Также ученые зафиксировали дополнительный риск: всех пожилых пациентов, получавших терапию разжижающими кровь препаратами до травмы, выписали с оценкой более 2 баллов по шкале Рэнкина, это указывает на то, что после выписки этим людям потребуется регулярная помощь в повседневных делах.
Современные клинические рекомендации отвечают на вопрос «как лечить?», помогая врачу выбрать между операцией и консервативной терапией. Однако они оставляют без ответа главный вопрос, волнующий пациента и его близких: каковы реальные шансы конкретного человека на возвращение к полноценной жизни после такой тяжелой травмы?
Чтобы дать врачам инструмент для ответа именно на этот вопрос, ученые ПГМУ им. академика Е.А. Вагнера и ПНИПУ создали цифрового помощника. На разработку получен патент.
— Это программа, в которую врач вводит ключевые параметры: возраст пациента, точный объем и расположение гематомы, время с момента травмы до поступления в больницу и информацию о приеме лекарств, снижающих свертываемость крови. Алгоритм анализирует эти данные по специальной балльной системе и выдает один из трех вариантов прогноза: благоприятный, средний или неблагоприятный, — прокомментировал Владислав Никитин, кандидат физико-математических наук, доцент кафедры «Вычислительная математика, механика и биомеханика».
Уникальность программы заключается в ее способности работать в условиях «золотого часа» — критически важного периода сразу после травмы, когда от скорости и точности принятия решения зависит жизнь пациента. Разработка создана на основе клинических исследований и использует простую балльную систему: врач вводит основные параметры состояния пациента, а алгоритм быстро формирует обоснованный прогноз. Это позволяет в сжатые сроки оценить перспективы лечения и определить оптимальную тактику. Программа не требует специального оборудования и легко встраивается в работу приемного отделения. Она также помогает выстраивать открытый диалог с родственниками, предоставляя объективные данные о вероятных исходах лечения вместо субъективных предположений.
Сейчас программу активно используют исследователи в клинической практике с перспективами ее дальнейшего усовершенствования.
В конце 2025 года Национальные академии наук, инженерии и медицины США представили доклад, посвященный будущим пилотируемым миссиям к Марсу. В документе подробно описаны причины, по которым людям стоит отправиться на Красную планету, а также технологии, способные приблизить человечество к первой высадке.
Акведуки, дороги, бани и города, которые римляне построили на оккупированных территориях, часто воспринимаются историками как символ прогресса. Но археологические раскопки, проведенные учеными из Великобритании, открыли обратную, мрачную сторону этого «развития». Оказалось, римское владычество на несколько поколений подорвало здоровье местного населения, особенно тех, кто жил в административных центрах. Исследователи увидели эту печальную картину в костях наиболее уязвимых групп населения — женщин и детей, которые первыми реагируют на ухудшение условий жизни.
На Красной планете ученые нашли предполагаемую «каменную летопись» древних приливов. Эту запись могла оставить не существующая сегодня сила — гравитация луны, которая когда-то красовалась в марсианском небе и управляла «ритмом» морей.
В конце 2025 года Национальные академии наук, инженерии и медицины США представили доклад, посвященный будущим пилотируемым миссиям к Марсу. В документе подробно описаны причины, по которым людям стоит отправиться на Красную планету, а также технологии, способные приблизить человечество к первой высадке.
У побережья Канады морские биологи стали свидетелями необычного случая. Косатки и дельфины объединили свои силы, чтобы вместе охотиться на тихоокеанского лосося. Они погружались в темные глубины, а после удачной охоты делились пищей. Это первое задокументированное охотничье сотрудничество между двумя видами морских млекопитающих.
Акведуки, дороги, бани и города, которые римляне построили на оккупированных территориях, часто воспринимаются историками как символ прогресса. Но археологические раскопки, проведенные учеными из Великобритании, открыли обратную, мрачную сторону этого «развития». Оказалось, римское владычество на несколько поколений подорвало здоровье местного населения, особенно тех, кто жил в административных центрах. Исследователи увидели эту печальную картину в костях наиболее уязвимых групп населения — женщин и детей, которые первыми реагируют на ухудшение условий жизни.
С 2010-х в «Роскосмосе» говорили: будущая РОС сможет пролетать над полюсом, что даст ей возможности для новых научных экспериментов. Но вскоре после того, как в ноябре 2025 года Россия временно лишилась возможности запускать людей в космос, эта позиция изменилась. В результате запускать космонавтов с космодромов нашей страны станет довольно сложно.
Позавчера, 27 ноября 2025 года, при запуске космонавтов к МКС на стартовую площадку № 31 упала кабина обслуживания стартового комплекса. Это означает, что новые пуски оттуда до починки невозможны. К сожалению, в 2010-х годах, в рамках «оптимизации» расходов, резервную площадку (с которой летал Юрий Гагарин) упразднили. Поэтому случилось беспрецедентное: в XXI веке страна с пилотируемой космической программой осталась без средств запуска людей на орбиту. Пока ремонт не закончится, проблема сохранится. Чем это может грозить?
Японские биологи повторили античную технологию производства вина из изюма, чтобы выяснить механизм его брожения. Исследователи показали, что сушеный виноград, в отличие от свежего, накапливает на поверхности дикие дрожжи и способен превращать воду в алкоголь без внесения дополнительных заквасок.
Вы попытались написать запрещенную фразу или вас забанили за частые нарушения.
Понятно
Из-за нарушений правил сайта на ваш аккаунт были наложены ограничения. Если это ошибка, напишите нам.
Понятно
Наши фильтры обнаружили в ваших действиях признаки накрутки. Отдохните немного и вернитесь к нам позже.
Понятно
Мы скоро изучим заявку и свяжемся с Вами по указанной почте в случае положительного исхода. Спасибо за интерес к проекту.
Понятно