Уведомления
Авторизуйтесь или зарегистрируйтесь, чтобы оценивать материалы, создавать записи и писать комментарии.
Авторизуясь, вы соглашаетесь с правилами пользования сайтом и даете согласие на обработку персональных данных.
Ученые придумали, как лучше восстановить легкие после операций
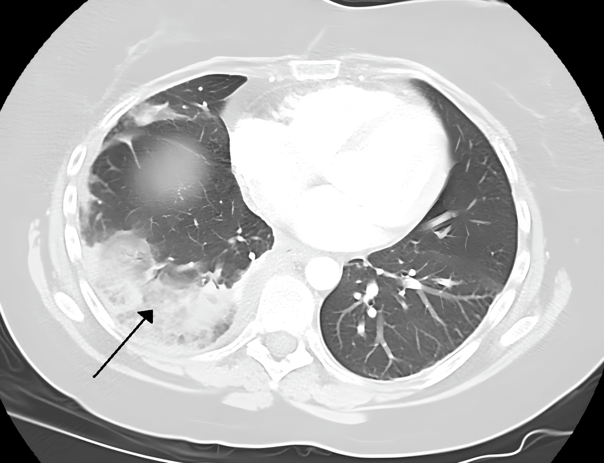
В Сеченовском Университете проходит мультидисципланарное исследование по применению мембраны на основе персонализированного коллагена для герметизации легочной ткани. Инновационный продукт разработан командой ученых Научно-технологического парка биомедицины Сеченовского Университета под руководством Петра Тимашева. Идея нестандартного применения коллагеновой пластины предложена исследователями кафедры госпитальной хирургии №2. Эффективность и безопасность нового метода уже успешно подтверждена на лабораторных животных.
Одной из наиболее частых и серьезных осложнений после операций в торакальной хирургии является длительная утечка воздуха из легких. Традиционно для решения этой проблемы применяют биологический клей — так называемый герметик. Им фактически «заклеивают» дефекты легочной ткани. Но у существующих герметиков есть существенный недостаток — они недолговечны.
Для решения этой проблемы группа исследователей кафедры госпитальной хирургии №2 Сеченовского Университета предложила инновационный метод — комбинировать применение биологического клея с коллагеновой пластиной. Эффективность и безопасность нового метода уже успешно подтверждена на лабораторных животных. Предварительные результаты экспериментов показывают, что именно комбинированная методика на основе использования коллагеновой пластины значительно улучшает герметизацию легких и снижает риск послеоперационной утечки воздуха. Сейчас проект вышел на заключительный этап экспериментов на лабораторных животных.
«Наша цель – разработать более безопасную и эффективную технологию герметизации легочной ткани для улучшения качества жизни пациентов в послеоперационном периоде, – говорит Петр Тимашев, научный руководитель НТПБ Сеченовского Университета, – в настоящее время эксперименты на животных в Научно-технологическом парке биомедицины проходят успешно, и мы уверены в перспективах клинического применения данной технологии».
«Благодаря комбинированному использованию герметика и коллагеновой пластины мы сможем предложить пациентам с утечкой воздуха из легких новый, более надежный вариант лечения. После завершения доклинических исследований данная методика будет внедрена в клиническую практику в Сеченовском Университете», — подчеркивает Евгений Тарабрин, заведующий кафедрой госпитальной хирургии №2 Сеченовского Университета.
Данное инновационное решение демонстрирует научно-исследовательский потенциал Сеченовского Университета в области биотехнологий и наноматериалов, а также даст возможность пациентам, перенесшим операции на легких, воспользоваться уникальными медицинскими технологиями, не имеющими аналогов в мире.
Проанализировав данные наблюдений, полученных с помощью наземных обсерваторий за последние два десятилетия, астрономы обнаружили потенциально обитаемый мир — суперземлю Gliese 251 c (GJ 251 с). Планета обращается вокруг красного карлика на расстоянии около 18 световых лет от Земли и считается одним из самых перспективных кандидатов для поисков жизни.
Ежедневно, еще до восхода солнца, миллионы птиц по всей планете наполняют воздух своими голосами. Этот рассветный концерт — одно из самых красивых и загадочных явлений природы. Почему пернатые певцы предпочитают встречать день именно так? Авторы нового исследования предложили простой ответ: птицы не могут иначе. Ночь заставляет их молчать, а утро дает долгожданную свободу, выплескивающуюся в бурном и страстном хоре.
Исследователи объяснили, как цивилизация майя добивалась высокой точности в предсказании солнечных затмений на протяжении столетий. Для коррекции накапливающихся астрономических неточностей они использовали сложную систему пересекающихся календарных таблиц.
Проанализировав данные наблюдений, полученных с помощью наземных обсерваторий за последние два десятилетия, астрономы обнаружили потенциально обитаемый мир — суперземлю Gliese 251 c (GJ 251 с). Планета обращается вокруг красного карлика на расстоянии около 18 световых лет от Земли и считается одним из самых перспективных кандидатов для поисков жизни.
В современном доме, насыщенном разнообразной техникой, удлинители стали незаменимым атрибутом, позволяющим обеспечить электропитанием все необходимые устройства. Однако мало кто задумывается, что привычное использование этого аксессуара может нести серьезную угрозу безопасности. По статистике, значительная часть бытовых пожаров происходит из-за неправильной эксплуатации электропроводки и вспомогательных устройств. Какие приборы категорически нельзя подключать через удлинители и почему это может привести к трагическим последствиям, рассказывает профессор кафедры наноэлектроники РТУ МИРЭА, доктор физико-математических наук Алексей Юрасов.
Команда исследователей из Т-Технологий и МФТИ разработала метод, позволяющий построить детальную «карту» эволюции абстрактных понятий в глубине больших языковых моделей. Этот подход, основанный на «графах потоков признаков», не только открывает «черный ящик» ИИ, делая его работу прозрачной, но и дает в руки ученых мощный инструмент для точного управления поведением нейросетей, например, для подавления нежелательных тем в генерируемом тексте.
Согласно новой гипотезе, сознание возникает не только из-за активности нейронов, но и благодаря физическим процессам — электромагнитным полям от движения жидкости в мозге. Эта модель, как и ее предшественники, пока носит теоретический характер, но предлагает нестандартный взгляд на проблему синхронизации работы разных отделов мозга.
В современном доме, насыщенном разнообразной техникой, удлинители стали незаменимым атрибутом, позволяющим обеспечить электропитанием все необходимые устройства. Однако мало кто задумывается, что привычное использование этого аксессуара может нести серьезную угрозу безопасности. По статистике, значительная часть бытовых пожаров происходит из-за неправильной эксплуатации электропроводки и вспомогательных устройств. Какие приборы категорически нельзя подключать через удлинители и почему это может привести к трагическим последствиям, рассказывает профессор кафедры наноэлектроники РТУ МИРЭА, доктор физико-математических наук Алексей Юрасов.
Проанализировав данные наблюдений, полученных с помощью наземных обсерваторий за последние два десятилетия, астрономы обнаружили потенциально обитаемый мир — суперземлю Gliese 251 c (GJ 251 с). Планета обращается вокруг красного карлика на расстоянии около 18 световых лет от Земли и считается одним из самых перспективных кандидатов для поисков жизни.
Вы попытались написать запрещенную фразу или вас забанили за частые нарушения.
Понятно
Из-за нарушений правил сайта на ваш аккаунт были наложены ограничения. Если это ошибка, напишите нам.
Понятно
Наши фильтры обнаружили в ваших действиях признаки накрутки. Отдохните немного и вернитесь к нам позже.
Понятно
Мы скоро изучим заявку и свяжемся с Вами по указанной почте в случае положительного исхода. Спасибо за интерес к проекту.
Понятно
